Comparison with Control (IMAGE)
Caption
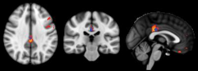
This image illustrates the direct comparison between the different groups. The biggest difference is present between stable controls and MCI, indicated in red-yellow, notably in the posterior cingulate cortex. The comparison of stable versus deteriorating controls (blue) shows differences in the same region yet less pronounced. The comparison between deteriorating controls and MCI revealed no significant differences.
Credit
Radiological Society of North America
Usage Restrictions
With credit
License
Licensed content
 
                