Lesion Left Brain Hemisphere (IMAGE)
Caption
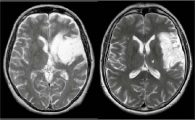
MRI was used to assess the exact brain areas affected in each patient. In both images, lesions can be seen in the left brain hemisphere (here on the right-hand side of each brain image).
Credit
MPI for Human Cognitive and Brain Sciences
Usage Restrictions
None
License
Licensed content