Cryo-Scanning Electron Microscopy Pictures of Vernix Caseosa (IMAGE)
Caption
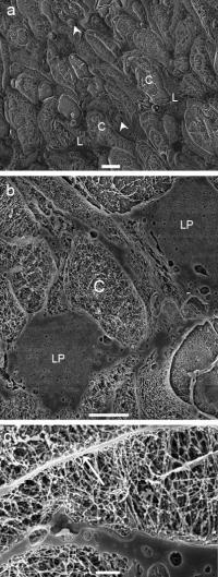
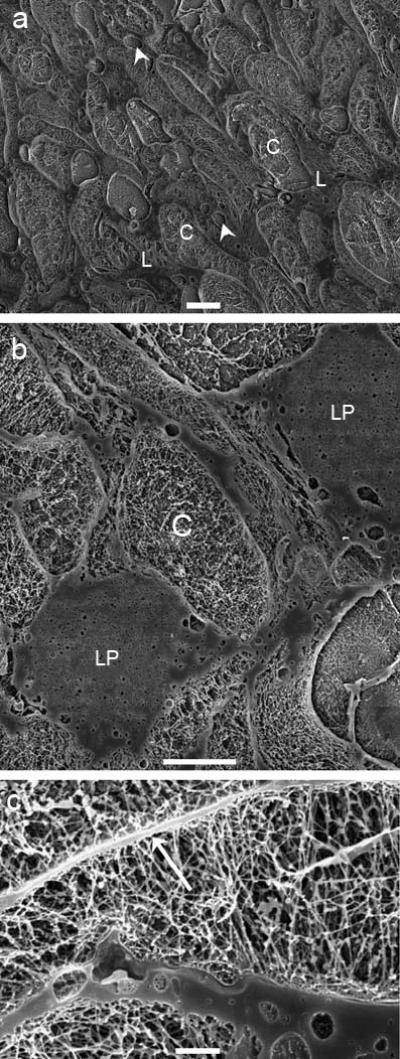
The structure of Vernix caseosa (VC) is characterized by corneocytes embedded in lipid domains. Cryo Scanning Electron Microscopy (cryo-SEM) pictures of VC show corneocytes (C), which are surrounded by lipid domains (L). Spherical structures (arrow heads) can also be observed. (a) A certain state of order can be seen. (b) Lipid material is accumulated between corneocytes and form lipid pools (LP) as depicted. (c) underlines the presence of a cornified envelope (arrow) on the boundary of the cell. The inner cellular network consisting of keratin fibers is also clearly visible. Bars = (a) 10 µm, (b) 5mm, and (c) 1 µm.
Credit
R.R. Rissmann
Usage Restrictions
None
License
Licensed content