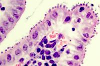
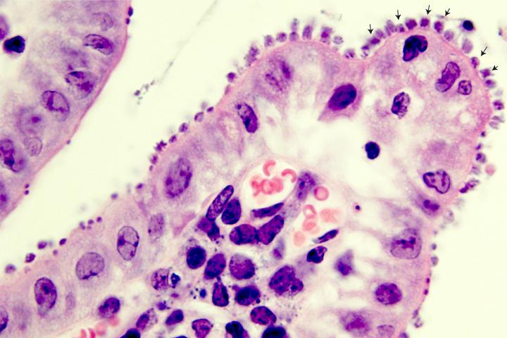
Cryptosporidium infection (IMAGE)
Caption
Intestinal tissue infected with Cryptosporidium, with arrows pointing to the parasites in the upper right corner of the frame.
Credit
Image courtesy of Sumiti Vinayak
Usage Restrictions
Credit Sumiti Vinayak, University of Illinois
License
Licensed content