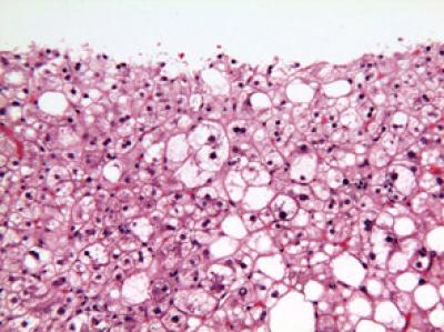
NASH (IMAGE)
Caption
The second shows nonalcoholic steatohepatitis (NASH), a more serious condition with potential to progress to cirrhosis.
Credit
Elizabeth Brunt, M.D., of Washington University in Saint Louis.
Usage Restrictions
None
License
Licensed content