New Real-Time MRI Technique (IMAGE)
Caption
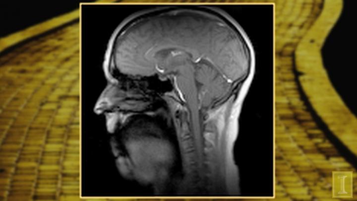
Aaron Johnson, former professional singer and Beckman Institute affiliate faculty member at the University of Illinois, sings "If I Only Had a Brain" from The Wizard of Oz to demonstrate the real-time imaging capabilities of the magnetic resonance imaging (MRI) scanner in Beckman's Biomedical Imaging Center. The technique captures the movements of the voice at 100 frames per second. Despite the excessive noise MRI produces during scanning, the audio in the video is clear because the room is equipped with a special microphone that separates the voice from ambient sounds.
Credit
Beckman Institute for Advanced Science and Technology, University of Illinois
Usage Restrictions
None
License
Licensed content