Regenerated Bone, with Mineralized Matrix (Red) and Strong Vascular Supply (Vessels with Red Blood C (IMAGE)
Caption
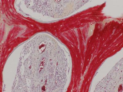
This image shows regenerated bone, with mineralized matrix (red) and strong vascular supply (vessels with red blood cells seen in cavities).
Credit
Sarindr Bhumiratana/Columbia Engineering
Usage Restrictions
Please use the credit: Sarindr Bhumiratana/Columbia Engineering
License
Licensed content