Misfolded TDP-43 Proteins in Neurons of Brain Tissue (IMAGE)
Caption
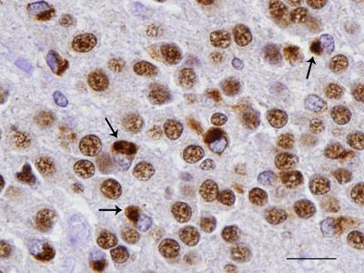
The identification of misfolded TDP-43 proteins in neurons of brain tissue (brown structures indicated by arrows) was a criterion for entry into this genome-wide study. The homogeneity of the pathologically-defined cohort is felt to be a major reason for the study's success.
Credit
Felix Geser, M.D., Ph.D., University of Pennsylvania School of Medicine
Usage Restrictions
None
License
Licensed content