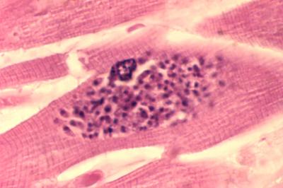
The Toxoplasma gondii parasite has been linked to inflammation in the brain, damaging cells.
Credit
Courtesy photo
Usage Restrictions
None
License
Licensed content
Disclaimer: AAAS and EurekAlert! are not responsible for the accuracy of news releases posted to EurekAlert! by contributing institutions or for the use of any information through the EurekAlert system.