37-Year-Old Man with Confirmed Coronavirus Disease (COVID-19), Common Type (IMAGE)
Caption
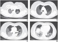
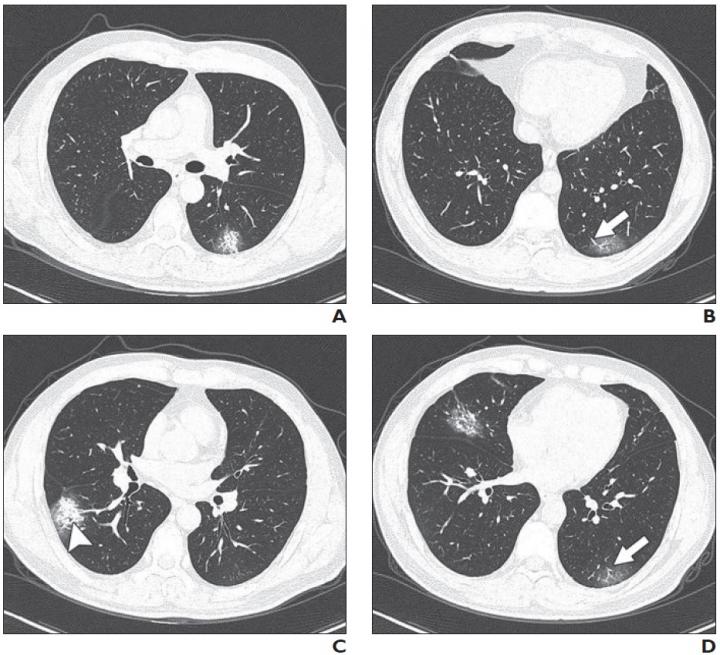
Patient had short-term exposure history to Wuhan and onset symptoms of fever (38°C) and cough. CT was performed on day of admission. A-D, CT images show bilateral multifocal ground-glass opacities (GGO) and mixed GGO and consolidation lesions. Traction bronchiectasis (arrowhead, C) and vascular enlargement (arrow, B and D) are also present. CT involvement score is 5.
Credit
<i>American Journal of Roentgenology</i> (AJR)
Usage Restrictions
Image may only be used with appropriate caption or credit.
License
Licensed content