63-Year-Old Woman with Confirmed Coronavirus Disease (COVID-19), Severe Type (IMAGE)
Caption
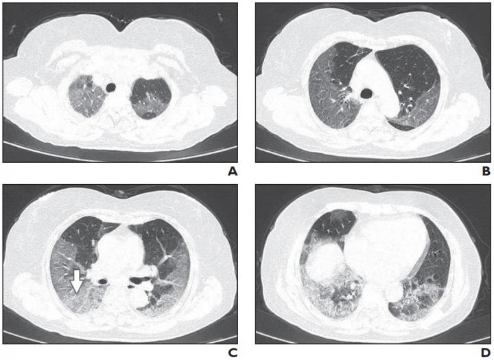
Patient had long-term exposure history to Wuhan and onset symptoms of fever and cough. CT was performed 1 day after admission. A-D, CT images show bilateral diffuse ground-glass opacities and reticulation (arrow, C). CT involvement score is 18.
Credit
American Journal of Roentgenology (AJR)
Usage Restrictions
Image may only be used with appropriate caption or credit.
License
Licensed content