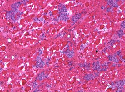
Untreated Dystrophic Dog Muscle (IMAGE)
Caption
In the absence of any treatment, the muscle structure is severely damaged. Muscle cell death (rounded cells) and muscle inflammation (blue staining) is abundant.
Credit
University of Missouri
Usage Restrictions
None
License
Licensed content