Lowering Ceramides Reverses Signs of Prediabetes (IMAGE)
Caption
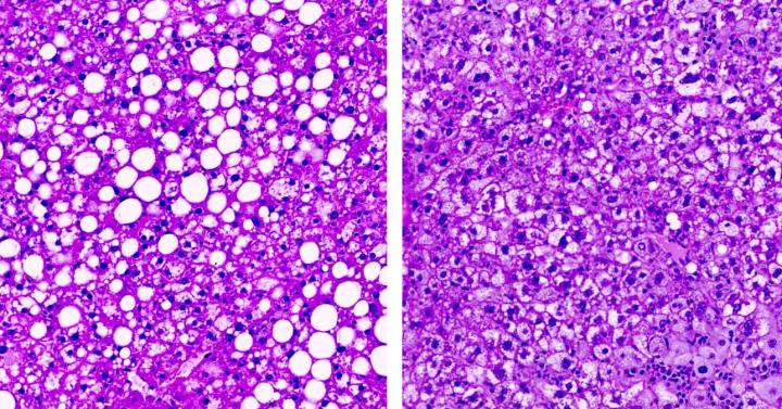
(Left) Fatty liver in obese mouse. (Right) Liver in mice in which ceramides were lowered by inactivating an enzyme, dihydroceramide desaturase 1, a target that could be used to develop new drugs against diabetes.
Credit
Trevor Tippetts
Usage Restrictions
With credit
License
Licensed content