Specific modifier genes determine the effect of mutations that cause non-compaction cardiomyopathy (IMAGE)
Caption
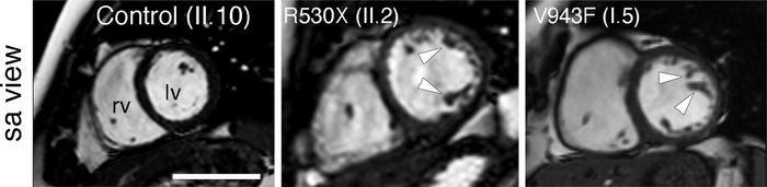
Cardiac magnetic resonance images from a healthy family member (left) and two patients with non-compaction cardiomyopathy (center and right). Arrowheads mark the trabeculae characteristic of the disease.
Credit
CNIC
Usage Restrictions
No restrictions.
License
Public Domain