Ultra-high-res MRI Reveals Migraine Brain Changes (IMAGE)
Caption
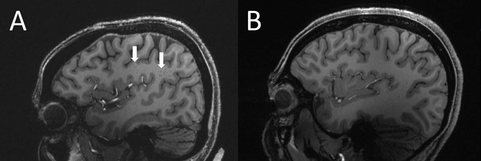
(A) Enlarged centrum semiovale (CSO) perivascular spaces (PVS) (arrows) on sagittal T1-weighted MRI in a case with chronic migraine. (B) Migraine-free control without enlarged CSO PVS.
Credit
RSNA and Wilson Xu
Usage Restrictions
May use with credit.
License
Original content