Imaging in Babies with Heart Defects (IMAGE)
Caption
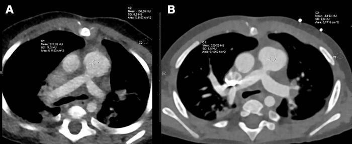
Axial contrast-enhanced dual-source CT (DSCT) and photon-counting CT (PCCT) images for comparison of image quality in the same infant who for clinical reasons underwent both (A) DSCT at 308 days old and (B) PCCT 14 days later at 322 days old. The male infant had a complete ventricular septum defect, Rastelli type A, postoperative situs after stenosis of the left and right lung veins and a so-called sutureless repair, banding of the pulmonary artery, and duct ligation. CT was performed again for clinical reasons (sonographic suspicion of pulmonary venous restenosis). On a five-point scale, the diagnostic image quality score of DSCT (A) was rated as moderate (score of 3), whereas that of PCCT (B) was rated as excellent (score of 5).
Credit
Radiological Society of North America
Usage Restrictions
May use with credit.
License
Licensed content