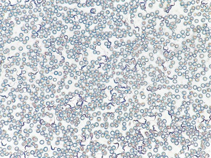
Trypanosoma brucei parasites (dark blue) among mouse blood cells (light blue and white).
Credit
Salk Institute
Usage Restrictions
With credit and related coverage
License
Original content
Disclaimer: AAAS and EurekAlert! are not responsible for the accuracy of news releases posted to EurekAlert! by contributing institutions or for the use of any information through the EurekAlert system.