News Release

New approach to testing for long Covid: Blood vessels in the eye are altered with persistent coronavirus symptoms

Peer-Reviewed Publication

Technical University of Munich (TUM)

Blood vessels in the eye

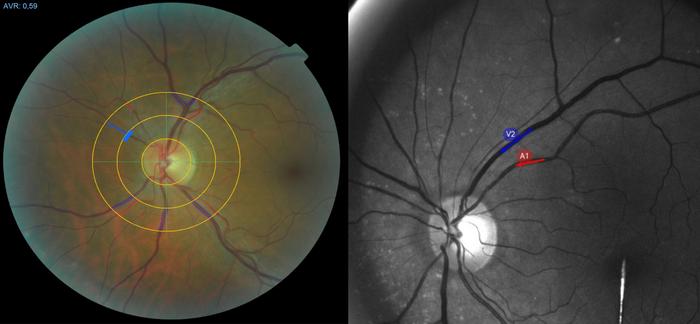
image: During an eye examination, the diameter of small blood vessels (left) and the dilation of vessels in response to light pulses (right) can be measured. Both are altered in people with long Covid. view more 

Credit: Department of Nephrology / TUM

A standardized eye examination might reveal in future whether people are suffering from long COivd / post-Covid. A team at the Technical University of Munich (TUM) was able to demonstrate a clear connection between the disease and certain changes to the blood vessels in the eye.

Between ten and 35 percent of those affected continue to experience symptoms such as respiratory problems or fatigue long after contracting Covid. So far, no physical features, or so-called biomarkers, are known that can be used to reliably diagnose long Covid.

One of the characteristics of Covid-19 is changes to blood vessels. This affects the endothelium, in particular, the inner wall of the blood vessel. As a result of the changes, organs in the body are not supplied with sufficient blood.

Small blood vessels little studied

To date, the blood vessels studied were mainly large vessels. “However, 90 percent of endothelial cells in the body are in small and tiny vessels. What happens to these blood vessels in long Covid is barely known,” says the leader of the study, Prof. Christoph Schmaderer, Managing Senior Physician in the Department of Nephrology at Klinikum rechts der Isar, TUM’s university hospital.

“Blood vessels in the eye could offer a clue to the condition of small blood vessels in the whole body,” Schmaderer says. They are easily accessible for examination, he adds. The necessary methods and tools are well tested and do not require any intervention in the body.

Vessels are constricted or dilate less

Schmaderer, co-leader of the study, Dr. Timon Kuchler, and their team describe their results in the scientific journal “Angiogenesis”. Two values, in particular, showed a strong correlation with long Covid illnesses. Firstly, arterioles, i.e. the smallest arteries, were significantly constricted by comparison with the healthy control group. Secondly, venules – but not the arterioles – showed an altered response to light stimulation. If you shine a flickering light into the eye, the blood vessels dilate. In the case of patients with long Covid, this response was significantly reduced.

The more inflammatory markers were measured in the blood of participants, the more pronounced the changes were. According to studies, persistent inflammatory responses are suspected of being a further important factor in long Covid.

Further studies needed

As the study is comparatively small with 41 sick participants and was only conducted in a single hospital, no reliable test for long Covid can be derived from the results yet. In the researchers’ opinion, further studies are needed in order to verify the results. “I am confident that a tool can be developed on the basis of our results in order to diagnose long Covid with confidence,” states Christoph Schmaderer. “We also assume that microcirculation is restricted, not just in the eye but also in other parts of the body. This might make the method especially suited for assessing the effectiveness of future therapies for long Covid.” 

 

Publication:

Kuchler, T., Günthner, R., Ribeiro, A. et al. Persistent endothelial dysfunction in post-COVID-19 syndrome and its associations with symptom severity and chronic inflammation. Angiogenesis (2023). https://doi.org/10.1007/s10456-023-09885-6

Further information:

The study was registered under the title “All Eyes on PCS – Analysis of the retinal microvasculature in patients with post-Covid-19 syndrome” and funded by the Bavarian State Ministry for Science and the Arts.

Additional Material for Media Outlets: 

Photos for download: https://mediatum.ub.tum.de/1721005

Subject matter expert: 

Prof. Dr. Christoph Schmaderer
Klinikum rechts der Isar of the Technical University of Munich
Department of Nephrology
christoph.schmaderer@mri.tum.de

TUM Corporate Communications Center contact: 

Paul Hellmich
Media Relations
Tel. +49 89 289 22731
presse@tum.de
www.tum.de 


Disclaimer: AAAS and EurekAlert! are not responsible for the accuracy of news releases posted to EurekAlert! by contributing institutions or for the use of any information through the EurekAlert system.