News Release

Mathematics supporting fresh theoretical approach in oncology

A study by the University of the Basque Country (UPV/EHU) uses game theory to establish that tumours with less cellular heterogeneity are more aggressive

Peer-Reviewed Publication

University of the Basque Country

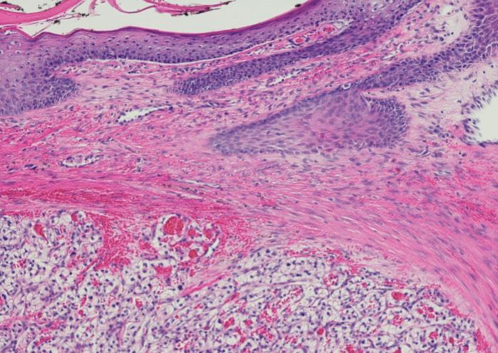
Highly aggressive cell carcinomas

image: 

Mathematics, histopathology and genomics converge to confirm that highly aggressive clear cell renal cell carcinomas display low levels of intratumour heterogeneity. 

view more 

Credit: CANVA

Mathematical approaches are gaining traction in modern oncology as they provide fresh knowledge about the evolution of cancer and new opportunities for therapeutic improvement. So data obtained from mathematical analyses endorse many of the histological findings and genomic results. Game theory, for example, helps to understand the “social” interactions that occur between cancer cells. This novel perspective allows the scientific and clinical community to understand the hidden events driving the disease. In actual fact, considering a tumour as a collectivity of individuals governed by rules previously defined in ecology opens up new therapeutic possibilities for patients.

 

Within the framework of game theory, the hawk-dove game is a mathematical tool developed to analyse cooperation and competition in biology. When applied to cancer cell collectivities, it explains the possible behaviours of tumour cells when competing for an external resource. “It is a decision theory in which the outcome does not depend on one's own decision alone, but also on the decision of the other actors,” explained Ikerbasque Research Professor Annick Laruelle, an expert in game theory in the UPV/EHU’s Department of Economic Analysis. “In the game, cells may act aggressively, like a hawk, or passively, like a dove, to acquire a resource.”

 

Professor Laruelle has used this game to analyse bilateral cell interactions in highly aggressive clear cell renal cell carcinoma in two different scenarios: one involving low tumour heterogeneity, when only two tumour cell types compete for a resource; and the other, high tumour heterogeneity, when such competition occurs between three tumour cell types. Clear cell renal cell carcinoma is so named because the tumour cells appear clear, like bubbles, under the microscope. This type of carcinoma has been taken as a representative case for the study, as it is a widely studied paradigm of intratumour heterogeneity (which refers to the coexistence of different subpopulations of cells within the same tumour).

 

Fresh theoretical approach for new therapeutic strategies 

Laruelle has thus shown how some of the fundamentals of intratumour heterogeneity, corroborated from the standpoint of histopathology and genomics, are supported by mathematics using the hawk-dove game. The work, carried out in collaboration with researchers from Biocruces, the San Giovanni Bosco Hospital in Turin (Italy) and the Pontificia Universidade Catolica do Rio de Janeiro has been published in the journal Trends in Cancer by the Ikerbasque Research Professor.

 

The group of researchers believe that “this convergence of findings obtained from very different disciplines reinforces the key role of translational research in modern medicine and gives intratumour heterogeneity a key position in the approach to new therapeutic strategies” and they conjecture that “intratumour heterogeneity behaves by following similar pathways in many other tumours”.

 

This may have important practical implications for the clinical management of malignant tumours. The constant arrival of new molecules enriches cancer treatment opportunities in the era of precision oncology. However, the researchers say that “it is one thing to discover a new molecule and quite another to find the best strategy for using it. So far, the proposed approach is based on administering the maximum tolerable dose to the patient. However, this strategy forces the tumour cells to develop resistance as early as possible, thus transforming the original tumour into a neoplasm of low intratumour heterogeneity comprising only resistant cells”. So, a therapy specifically aimed at preserving high intratumour heterogeneity may make sense according to this theoretical approach, as it may slow cancer growth and thus lead to longer survivals. This perspective is currently gaining interest in oncology.

 

Additional information 

The Ikerbasque Research Professor Annick Laruelle, an expert in game theory and social choice theory in the Department of Economic Analysis in the UPV/EHU's Faculty of Economics and Business, teaches on the Doctoral Programme in Economics: Tools of Economic Analysis


Disclaimer: AAAS and EurekAlert! are not responsible for the accuracy of news releases posted to EurekAlert! by contributing institutions or for the use of any information through the EurekAlert system.