News Release

GFH009: A potent and highly selective CDK9 inhibitor for the treatment of hematologic malignancies

Peer-Reviewed Publication

Impact Journals LLC

Figure 9

image: 

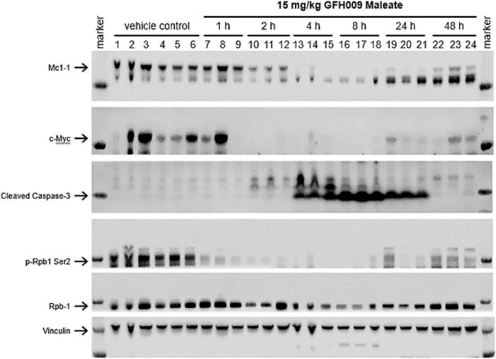
Figure 9: Effect of GFH009 treatment on CDK9-dependent protein expression in vivo.

view more 

Credit: 2023 Zhou et al.

“[...] the results of this preclinical investigation program suggest that induction of apoptosis is a key component of GFH009’s anti-tumor mechanism of action [...]”

BUFFALO, NY- December 28, 2023 – A new research paper was published in Oncotarget's Volume 14 on December 20, 2023, entitled, “The pharmacodynamic and mechanistic foundation for the antineoplastic effects of GFH009, a potent and highly selective CDK9 inhibitor for the treatment of hematologic malignancies.”

To evade cell cycle controls, malignant cells rely upon rapid expression of select proteins to mitigate pro-apoptotic signals resulting from damage caused by both cancer treatments and unchecked over-proliferation. Cyclin-dependent kinase 9 (CDK9)-dependent signaling induces transcription of downstream oncogenes promoting tumor growth, especially in hyperproliferative ‘oncogene-addicted’ cancers, such as human hematological malignancies (HHMs). In this new study, researchers Fusheng Zhou, Lili Tang, Siyuan Le, Mei Ge, Dragan Cicic, Fubo Xie, Jinmin Ren, Jiong Lan, and Qiang Lu from GenFleet Therapeutics Inc. and Sellas Life Sciences Group aimed to summarize current knowledge underlying the mechanism of action (MOA) of GFH009 and explain its robust anti-cancer activity.

“Understanding GFH009’s MOA allows for a more optimal clinical development path, given the potential for meaningful benefits in patients with hematological malignancies.”

GFH009, a potent, highly selective CDK9 small molecule inhibitor, demonstrated antiproliferative activity in assorted HHM-derived cell lines, inducing apoptosis at IC50 values below 0.2 μM in 7/10 lines tested. GFH009 inhibited tumor growth at all doses compared to controls and induced apoptosis in a dose-dependent manner. 

Twice-weekly injections of GFH009 maleate at 10 mg/kg significantly prolonged the survival of MV-4-11 xenograft-bearing rodents, while their body weight remained stable. There was marked reduction of MCL-1 and c-MYC protein expression post-drug exposure both in vitro and in vivo. Through rapid ‘on-off’ CDK9 inhibition, GFH009 exerts a proapoptotic effect on HHM preclinical models triggered by dynamic deprivation of crucial cell survival signals. 

“Our results mechanistically establish CDK9 as a targetable vulnerability in assorted HHMs and, along with the previously shown superior class kinome selectivity of GFH009 vs other CDK9 inhibitors, strongly support the rationale for currently ongoing clinical studies with this agent in acute myeloid leukemia and other HHMs.”
 

Read the full paper: DOI: https://doi.org/10.18632/oncotarget.28543 

Correspondence to: Jiong Lan

Email: jlan@genfleet.com 

Keywords: GFH009, CDK9, cancer, leukemia, cell cycle
 

About Oncotarget: Oncotarget (a primarily oncology-focused, peer-reviewed, open access journal) aims to maximize research impact through insightful peer-review; eliminate borders between specialties by linking different fields of oncology, cancer research and biomedical sciences; and foster application of basic and clinical science.

To learn more about Oncotarget, visit Oncotarget.com and connect with us on social media:

Sign up for free Altmetric alerts about this article: https://oncotarget.altmetric.com/details/email_updates?id=10.18632%2Foncotarget.28543 

Click here to subscribe to Oncotarget publication updates.

For media inquiries, please contact: media@impactjournals.com.

 

Oncotarget Journal Office

6666 East Quaker Str., Suite 1A

Orchard Park, NY 14127

Phone: 1-800-922-0957 (option 2)

###


Disclaimer: AAAS and EurekAlert! are not responsible for the accuracy of news releases posted to EurekAlert! by contributing institutions or for the use of any information through the EurekAlert system.