image: Under allergy-like conditions, the number of mucus-producing cells increases.
Credit: Credit: Marie Bannier-Hélaouët, copyright: Hubrecht Institute.
The Organoid group at the Hubrecht Institute produced the first organoid model of the human conjunctiva. These organoids mimic the function of the actual human conjunctiva, a tissue involved in tear production. Using their new model, the researchers discovered a new cell type in this tissue: tuft cells. The tuft cells become more abundant under allergy-like conditions and are therefore likely to play a role in allergies. The organoid model can now be used to test drugs for several diseases affecting the conjunctiva. The study will be published in Cell Stem Cell on 11 January 2024.
Our eyes produce tears to protect themselves from injuries and infections. The conjunctiva, a tissue that covers the white of the eye and the inside of the eyelids, is partially responsible for the production of these tears. It participates in tear production through the release of mucus. This mucus allows the tears to stick to the ocular surface and protects it from pathogens.
Limited treatment options
Several diseases and disorders affect the conjunctiva, such as dry eye disease, cancer, allergies and infections. In severe cases, disfunction of this tissue can lead to blindness. Until now, there has not been a good model of the human conjunctiva, which limits research into its function in sickness and in health. Consequently, there are limited treatment options for diseases affecting the conjunctiva.
First model
To gain more insight into the composition and functioning of the conjunctiva, the Organoid group set out to develop the first human model of this type of tissue. They used cells from an actual human conjunctiva and grew them into 3D structures in a dish. These miniature structures are called organoids and function as real human conjunctiva. “Once we had these functioning organoids, we wanted to know how the conjunctiva is involved in the production of tears,” Marie Bannier-Hélaouët, lead researcher in the project, explains. “We discovered that the conjunctiva makes antimicrobial components and therefore contributes to tear production in more ways than by simply making mucus.”
Allergies
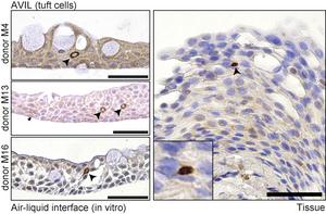
The researchers then altered the conditions in the dish with the miniature conjunctivae to mimic allergies. “The organoids started to produce completely different tears: there was more mucus but there were also more antimicrobial components,” says Bannier-Hélaouët. Under these conditions, they also found a new cell type in the organoids: tuft cells. Bannier-Hélaouët continues: “Similar cells have been discovered in other tissues, but not in the human conjunctiva.” The tuft cells became more abundant under the allergy-like conditions, suggesting they play a role in the eye’s reaction to allergies.
Drugs
The newly developed organoid model opens the door for research into diseases affecting the conjunctiva. “We can use our model to test drugs for allergies or dry eye disease, for example,” says Bannier-Hélaouët. In the long term, it may even be possible to make replacement conjunctivae for people with ocular burns, ocular cancers or maybe even genetic disorders. “We are now running preclinical studies in rabbits to assess whether this approach is feasible and helpful,” Bannier-Hélaouët concludes.
Publication
Human Conjunctiva Organoids to Study Ocular Surface Homeostasis and Disease. Marie Bannier-Hélaouët, Jeroen Korving, Ziliang Ma, Harry Begthel, Amir Giladi, Mart M. Lamers, Willine J. van de Wetering, Nobuyo Yawata, Makoto Yawata, Vanessa L. S. LaPointe, Mor M. Dickman, Rachel Kalmann, Saskia M. Imhoff, Johan H. van Es, Carmen López-Iglesias, Peter J. Peters, Bart L. Haagmans, Wei Wu and Hans Clevers. Cell Stem Cell, 2024.
******************************************************************************************************************************************************************************
About Hans Clevers
Hans Clevers is advisor/guest researcher at the Hubrecht Institute for Developmental Biology and Stem Cell Research (KNAW) and at the Princess Máxima Center for Pediatric Oncology. He holds a professorship in Molecular Genetics from the Utrecht University and is an Oncode Investigator. Hans Clevers has been the Head of Pharma Research and Early Development (pRED) at Roche since 2022. He previously held directorship/President positions at the Hubrecht Institute, the Royal Netherlands Academy of Arts and Sciences and the Princess Máxima Center for pediatric oncology.
About the Hubrecht Institute
The Hubrecht Institute is a research institute focused on developmental and stem cell biology. Because of the dynamic character of the research, the institute has a variable number of research groups, around 20, that do fundamental, multidisciplinary research on healthy and diseased cells, tissues and organisms. The Hubrecht Institute is a research institute of the Royal Netherlands Academy of Arts and Sciences (KNAW), situated on Utrecht Science Park. Since 2008, the institute is affiliated with the UMC Utrecht, advancing the translation of research to the clinic. The Hubrecht Institute has a partnership with the European Molecular Biology Laboratory (EMBL). For more information, visit www.hubrecht.eu.
Journal
Cell Stem Cell
Method of Research
Experimental study
Subject of Research
Human tissue samples
Article Title
Human Conjunctiva Organoids to Study Ocular Surface Homeostasis and Disease
Article Publication Date
11-Jan-2024
COI Statement
H.C. is the head of Pharma Research and Early Development at Roche, Basel and holds several patents related to organoid technology. M.B.-H. and H.C. are inventors on a filed patent application related to this work.