News Release

Researchers at IRB Barcelona and the University of Barcelona pave the way for a new approach to tackle muscle loss in ageing

Peer-Reviewed Publication

Institute for Research in Biomedicine (IRB Barcelona)

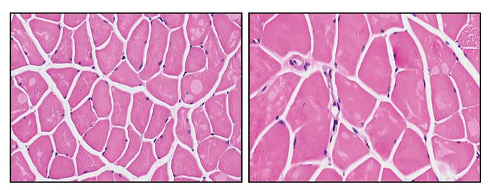
Cross-section of mouse muscle showing the size of muscle fibers.

image: 

Left: 24-month-old mouse. Right: 24-month-old mouse overexpressing TP53INP2.

view more 

Credit: IRB Barcelona

Barcelona, 18 April 2024 – Sarcopenia, a prevalent condition among the elderly, is characterized by a progressive decline in muscle mass and function, which can significantly diminish their quality of life and increase the risk of falls, injuries, and dependency. A greater understanding of this phenomenon is crucial for devising effective strategies that enable the ageing population to remain healthy and independent.

A study co-led by Dr. Antonio Zorzano, from IRB Barcelona, and Dr. David Sebastián, now a Professor at the University of Barcelona (UB), reveals that a protein named TP53INP2 could be pivotal in combatting sarcopenia. Conducted in partnership with Parc Sanitari Sant Joan de Déu, the study indicates that increased levels of this protein in muscle correlate with greater muscular strength and healthier ageing in humans.

Loss of muscle mass typically starts around the age of 55, and it has a detrimental effect on people’s ability to perform daily tasks and on their health. Sarcopenia leads to increased frailty physical disability and the need for long-term care. 

By conducting experiments on mouse models and analysing human muscle tissue samples, the researchers observed a decrease in TP53INP2 levels with age. However, artificially boosting the presence of this protein in muscles—whether continuously in young mice or temporarily in older mice through genetic engineering techniques—led to a significant improvement in both muscle mass and function.

These findings suggest that promoting the activity of TP53INP2 and, consequently, autophagy in the muscle, could be an effective strategy to tackle sarcopenia, thereby contributing to a more active and healthier ageing process. In studies involving humans, high levels of TP53INP2 were associated with greater strength and enhanced physical performance, thereby highlighting the potential of this protein as an indicator of healthy ageing.

"This study not only underscores the importance of keeping autophagy active in muscles to prevent muscle mass loss but also gives us hope regarding potential treatments that could improve the condition or at least mitigate the effects of ageing on our muscles," explains Dr. Zorzano, who is also a Professor at the Faculty of Biology at the UB and a member of CIBERDEM. "Furthermore, the activation of autophagy through TP53INP2 improved the quality of mitochondria, essential organelles in energy generation—a process that we had previously shown to be disrupted during ageing," highlights Dr. Sebastián, Professor in the Department of Biochemistry and Physiology at the Faculty of Pharmacy and Food Sciences of the UB.

The partnership with Parc Sanitari Sant Joan de Déu has been pivotal, providing access to biologic samples from well-characterized patients. This allowed the researchers to establish the link between TP53INP2 muscle expression and healthy ageing in humans. This advance not only paves the way for further research in ageing but also points to potential interventions to greatly improve the quality of life of seniors, helping them to maintain their independence and vitality.

Moving forward, the researchers will continue to explore whether TP53INP2 levels in each person are influenced by genetic factors and physical activity, or, whether other habits, like nutrition, play a significant role.

This work has been possible thanks to funding from the Ministry of Science, Innovation, and Universities, the Generalitat de Catalunya, and the Carlos III Health Institute.


Disclaimer: AAAS and EurekAlert! are not responsible for the accuracy of news releases posted to EurekAlert! by contributing institutions or for the use of any information through the EurekAlert system.