News Release

Comparison of FDG-PET/CT and CT for treatment evaluation of patients with unresectable malignant pleural mesothelioma

Peer-Reviewed Publication

Impact Journals LLC

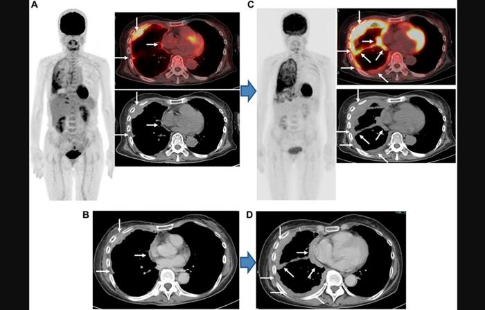
Figure 2

image: 

Figure 2: Epithelioid MPM, stage IIIB (cT4N0M0), woman, 64 years old.

view more 

Credit: 2024 Kitajima et al.

“FDG-PET is generally considered as a useful metabolic evaluation tool, while it is also thought to have an emerging role for assessment of systemic therapy response.”

BUFFALO, NY- July 15, 2024 – A new research paper was published in Oncotarget's Volume 15 on June 20, 2024, entitled, “Comparison of FDG-PET/CT and CT for evaluation of tumor response to nivolumab plus ipilimumab combination therapy and prognosis prediction in patients with unresectable malignant pleural mesothelioma.”

Malignant pleural mesothelioma (MPM) is an aggressive neoplasm and affected patients have low survival rates. In this new retrospective study, researchers Kazuhiro Kitajima, Kozo Kuribayashi, Toshiyuki Minami, Hiroyuki Yokoyama, Akifumi Nakamura, Masaki Hashimoto, Takashi Kijima, Seiki Hasegawa, Hayato Kaida, and Koichiro Yamakado from Hyogo Medical University and Kindai University Faculty of Medicine examined the effectiveness of fluorodeoxyglucose positron emission tomography (FDG-PET) criteria, i.e., immunotherapy-modified PET response criteria in solid tumors (imPERCIST), with morphological computed tomography (CT) criteria, i.e., modified response evaluation criteria in solid tumors (mRECIST), to evaluate patients with unresectable MPM undergoing nivolumab plus ipilimumab combination therapy as first-line treatment regarding response and prognosis prediction.

“Results for malignant pleural mesothelioma (MPM) patients following first-line treatment with nivolumab plus ipilimumab obtained with immunotherapy-modified PERCIST (imPERCIST), shown by [18F] (FDG-PET/CT), and modified RECIST (mRECIST), shown by CT, were compared for response evaluation and prognosis prediction.”

Twenty-six patients (23 males, 3 females; median 73.5 years) with histologically proven MPM and no curative surgery received nivolumab plus ipilimumab combination therapy. FDG-PET/CT and diagnostic CT scanning at the baseline, and after 2–4 cycles (2 in three, 3 in 17, 4 in six patients) were performed. Therapeutic response findings evaluated using imPERCIST and mRECIST were compared. PFS and OS analyses were done using log-rank and Cox methods.

Results: imPERCIST indicated nine progressive metabolic disease (PMD), eight stable metabolic disease (SMD), four partial metabolic response (PMR), and five complete metabolic response (CMR) cases. mRECIST showed nine with progressive disease (PD), nine stable disease (SD), seven partial response (PR), and one complete response (CR). Although high concordance was noted (κ = 0.827), imPERCIST correctly judged a greater percentage with CMR (15.4%). Following a median 10.0 months, 15 patients showed progression and eight died from MPM. With both, progression-free survival (PFS) and overall survival (OS) were significantly longer in patients without progression (CMR/PMR/SMD, CR/PR/SD, respectively) as compared to PMD/PD patients (imPERCIST p < 0.0001 and p = 0.015, respectively; mRECIST p < 0.0001 and p = 0.015, respectively).

“For unresectable MPM patient examinations, FDG-PET and CT provide accurate findings for evaluating tumor response and also prognosis prediction following first-line nivolumab plus ipilimumab immunotherapy (approximately three cycles).”

 

Continue reading: DOI: https://doi.org/10.18632/oncotarget.28594 

Correspondence to: Kazuhiro Kitajima

Email: kazu10041976@yahoo.co.jp 

Keywords: mesothelioma; immunotherapy; FDG (fluorodeoxyglucose); PET-CT (positron emission tomography-computed tomography); immunotherapy-modified PERCIST (positron emission tomography response criteria in solid tumors)

Click here to sign up for free Altmetric alerts about this article.
 

About Oncotarget: Oncotarget (a primarily oncology-focused, peer-reviewed, open access journal) aims to maximize research impact through insightful peer-review; eliminate borders between specialties by linking different fields of oncology, cancer research and biomedical sciences; and foster application of basic and clinical science.

Oncotarget is indexed and archived by PubMed/Medline, PubMed Central, Scopus, EMBASE, META (Chan Zuckerberg Initiative) (2018-2022), and Dimensions (Digital Science).

To learn more about Oncotarget, visit Oncotarget.com and connect with us on social media:

 

Click here to subscribe to Oncotarget publication updates.

For media inquiries, please contact media@impactjournals.com.

 

Oncotarget Journal Office

6666 East Quaker Street., Suite 1

Orchard Park, NY 14127

Phone: 1-800-922-0957 (option 2)

###


Disclaimer: AAAS and EurekAlert! are not responsible for the accuracy of news releases posted to EurekAlert! by contributing institutions or for the use of any information through the EurekAlert system.