PolyU researchers uncover target and mechanism of Chinese medicine extract tetrandrine, paving the way for new treatments for viral infection and Alzheimer’s Disease
The Hong Kong Polytechnic University
image: PolyU researchers uncover target and mechanism of Chinese medicine extract tetrandrine, paving the way for new treatments for viral infection and Alzheimer’s Disease
Credit: © 2025 Research and Innovation Office, The Hong Kong Polytechnic University. All Rights Reserved.
Tetrandrine, a compound isolated from the root of a traditional Chinese medicine (TCM) Stephania tetrandra, has shown promise in combating Ebola virus infection in previous studies. Its precise mechanism of action, however, had remained unclear. Researchers from The Hong Kong Polytechnic University (PolyU) have discovered that tetrandrine works by blocking the transport of sphingosine – a lipid molecule essential for cellular signalling – and inhibiting the calcium channels. Their research has revealed the critical mechanism of tetrandrine for the first time, opening new avenues for drug discovery and disease treatment.
Tetrandrine is known for its potent antiviral, anti-inflammatory and anti-cancer properties. It has been shown to inhibit nicotinic acid adenine dinucleotide phosphate (NAADP)-mediated calcium efflux, thereby suppressing the activity of the Ebola virus. Scientists have long believed that tetrandrine elicits its pharmacological activity by directly blocking calcium channels and their release of calcium, which is a key regulator of cellular function and physiology including immune response, metabolism, brain and neuron functions, and viral replication.
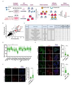
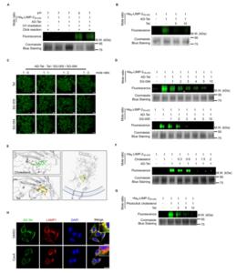
Prof. Ben KO Chi-bun, Associate Professor of the PolyU Department of Applied Biology and Chemical Technology, has led his research team in using a specially designed photoaffinity probe alongside other advanced tools to visualise tetrandrine’s cellular target. They discovered that, instead of directly targeting the calcium channels, tetrandrine binds to the lysosomal integral membrane protein type-2 (LIMP-2) on the lysosome – the metabolic hub of the cell – and blocks the discharge of sphingosine from it. The team further found that it is the amount of cellular sphingosine that controls the activity of calcium channels: the less sphingosine released, the less calcium that can enter the cells.
With this ground-breaking discovery, the researchers propose that tetrandrine can be used to disrupt processes critical to the survival and replication of viruses, such as Ebola and COVID-19, by targeting LIMP-2 to alter lysosomal calcium release. Importantly, these findings highlight lysosome-related mechanisms as a new frontier for drug discovery, offering novel strategies for treating diseases caused by calcium imbalance, including neurodegenerative disorders like Alzheimer’s and Parkinson’s, as well as certain metastatic cancers.
Prof. Ko said, “This is the first time a function of LIMP-2 in calcium signalling has been uncovered. From a cell biology perspective, our study has revealed a completely new pathway for NAADP-regulated calcium signalling, through LIMP-2 and sphingosine. From an anti-viral treatment perspective, the study has identified LIMP-2 as a key target of tetrandrine for the treatment of Ebola virus infection, with broader applications in other antiviral therapies.”
While illuminating tetrandrine’s biological mechanism, the research team has developed a technology platform that combines photoaffinity probe and multi-omics analysis. This platform not only facilitates studies of natural product biology, but also enables researchers to identify the molecular targets of other natural compounds, particularly those derived from TCM. By integrating modern analytical techniques with TCM, it modernises the use of natural products and expands their therapeutic potential in the fight against the most challenging diseases, supporting the development of innovative drugs.
The research redefines how natural compounds, such as tetrandrine can be applied in modern therapeutic strategies. The findings have been published in Nature Communications, in a paper titled “Tetrandrine regulates NAADP-mediated calcium signaling through a LIMP-2-dependent and sphingosine-mediated mechanism.”
Disclaimer: AAAS and EurekAlert! are not responsible for the accuracy of news releases posted to EurekAlert! by contributing institutions or for the use of any information through the EurekAlert system.