News Release

Trastuzumab deruxtecan shows positive results in rare breast cancer with brain metastasis

“This solid evidence is seemingly leading into a new and groundbreaking BC treatment era.”

Peer-Reviewed Publication

Impact Journals LLC

Metastatic breast cancer with leptomeningeal carcinomatosis treated with trastuzumab deruxtecan – a case report

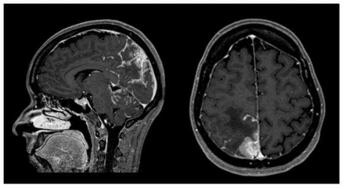
image: 

Figure 1: CE MRI at BM and LMC initial moment of diagnosis.

Heterogeneous space-occupying lesion (right posterior parietal-parasagittal cortico-subcortical area), with vasogenic edema and sulcal effacement, compatible with a BM lesion, along with pachymeningeal carcinomatosis (right next to the first described BM).

view more 

Credit: Copyright: © 2025 Martins et al. This is an open access article distributed under the terms of the Creative Commons Attribution License (CC BY 4.0), which permits unrestricted use, distribution, and reproduction in any medium, provided the original author and source are credited.

“This solid evidence is seemingly leading into a new and groundbreaking BC treatment era.”

BUFFALO, NY — November 5, 2025 — A new case report was published in Volume 12 of Oncoscience on October 9, 2025, titled "Metastatic breast cancer with leptomeningeal carcinomatosis treated with trastuzumab deruxtecan – a case report."

In this report, Cristiana Honrado Martins, José Miguel Rocha, Catarina Portela, Ricardo Fernandes, and Cláudia Caeiro from Hospital de Braga, ULS de Braga, describe a rare case of advanced HER2-positive breast cancer (BC) that had spread to the membranes surrounding the brain and spinal cord—a condition known as leptomeningeal carcinomatosis.

The patient, a 37-year-old woman, initially responded to standard treatment but experienced a relapse two years later. At that point, her cancer had progressed to involve the central nervous system, severely affecting her neurological function. Given the complexity of her condition and limited standard options, the medical team initiated off-label treatment with trastuzumab deruxtecan.

Trastuzumab deruxtecan, a targeted antibody-drug conjugate, was selected based on data from recent clinical trials and multidisciplinary discussions. The patient began to improve after three treatment cycles. Imaging showed a reduction in the size and extent of the cancer, and her neurological symptoms gradually improved, allowing her to regain independence in daily activities. She continued on treatment for more than two years, during which the disease in her brain and spinal membranes remained stable.

This case illustrates the potential of antibody-drug conjugates like trastuzumab deruxtecan in treating breast cancers that reach the central nervous system. It also underscores the need for personalized and flexible treatment approaches in oncology, especially in cases of advanced or treatment-resistant breast cancer. Therapies like trastuzumab deruxtecan may become important tools for managing these types of tumors.

Continue reading: https://doi.org/10.18632/oncoscience.631

Correspondence to: Cristiana Honrado Martins - cristiana.honrado.martins@ulsb.min-saude.pt

Abstract video: https://www.youtube.com/watch?v=7CplmXaDyvc

Keywords: cancer, breast cancer, leptomeningeal carcinomatosis, HER2 positive, antibody-drug conjugate, trastuzumab-deruxtecan

Click here to sign up for free Altmetric alerts about this article.

About Oncoscience:

Oncoscience is a peer-reviewed, open-access, traditional journal covering the rapidly growing field of cancer research, especially emergent topics not currently covered by other journals. This journal has a special mission: Freeing oncology from publication costs. It is free for the readers and the authors.

Oncoscience is indexed and archived by PubMed, PubMed Central, Scopus, META (Chan Zuckerberg Initiative) (2018–2022), and Dimensions (Digital Science).

To learn more about Oncoscience, visit Oncoscience.us and connect with us on social media:

For media inquiries, please contact media@impactjournals.com.


Disclaimer: AAAS and EurekAlert! are not responsible for the accuracy of news releases posted to EurekAlert! by contributing institutions or for the use of any information through the EurekAlert system.