News Release

New research finds dietary intervention of peanuts improves brain vascular function and memory

Peer-Reviewed Publication

The Peanut Institute

Arterial spin labeling magnetic resonance imaging (MRI) was used to investigate the effects of daily peanut consumption on brain health.

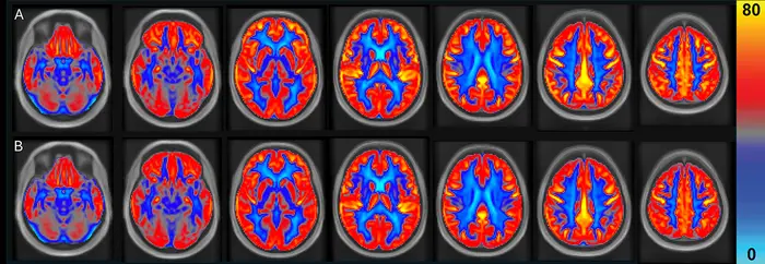
image: 

Figure 1. Mean cerebral blood flow (CBF) maps following the (A) peanut intervention and (B) control periods in adults (n = 31). CBF displayed in mL/100 g/min (scale shown by color bar).

view more 

Credit: Dr. Peter Joris

Albany, Ga. (November 6, 2025) – A study from the Institute of Nutrition and Translational Research in Metabolism (NUTRIM) at Maastricht University Medical Center, Maastricht, Netherlands, has found that the consumption of unsalted, skin-roasted peanuts can significantly improve brain vascular function and memory. The findings were published online in the international, peer-reviewed journal Clinical Nutrition.

The NUTRIM study of 31 healthy older adults ranging in age from 60-75 observed that consuming 60 grams (approximately two servings) of peanuts daily for 16 weeks increased global cerebral blood flow (CBF) by 3.6% and verbal memory by 5.8%. In addition to the brain improvements, systolic blood pressure and pulse pressure decreased by 5 mmHg and 4 mmHg, respectively.

“CBF is an important physiological marker of brain vascular function and refers to the amount of blood that flows through the brain, delivering oxygen and nutrients that are essential for maintaining brain health,” says Dr. Peter Joris, the study’s author and an associate professor in the Department of Nutrition and Movement Sciences, NUTRIM, Maastricht University Medical Center. “We found that longer-term consumption of unsalted, skin-roasted peanuts improved global CBF, which suggests an overall enhancement in brain vascular function.”

The peanut intervention also resulted in increased blood flow in the frontal and temporal lobes of the brain, both of which are important for memory and other cognitive functions.

The NUTRIM study is unique because it combined a well-controlled, longer-term dietary intervention with advanced brain imaging techniques, specifically arterial spin labeling magnetic resonance imaging (MRI), to investigate the effects of daily peanut consumption on brain health. Cognitive performance was evaluated using the Cambridge Neuropsychological Test Automated Battery (CANTAB).

“For the first time, we demonstrated that peanut intake improved brain vascular function in healthy older adults. These favorable effects may help explain the observed improvements in memory, providing novel mechanistic insight into how regular peanut consumption can beneficially affect cognitive function,” says Joris.

As people age, vascular brain function can become impaired, contributing to an elevated risk of cognitive decline and dementia. Dementia, unfortunately, is a worldwide health problem that’s increasing in prevalence. Alzheimer’s Disease International predicts that 78 million will be living with dementia by 2030 and by 2050 the number will reach 139 million.

“Peanuts are especially rich in plant-based protein and contain high concentrations of L-arginine, an amino acid important for vascular health. They are also a valuable source of unsaturated fats and polyphenols, both known to support vascular function,” says Joris. “For this study, skin-roasted peanuts were chosen because the peanut skin contains additional dietary fiber and natural plant compounds, specifically antioxidants. Together, these nutrients may help explain the beneficial health effects of skin-roasted peanuts observed in this study.”

NUTRIM Study Details

The study was a randomized, controlled crossover trial - one of the strongest designs in clinical research. Participants in the intervention group were given premeasured packets of skin-roasted peanuts and directed to consume the peanuts in the morning or afternoon. They were allowed to eat the daily amount all at once, spread it out over the day or add the peanuts to their meals. The control group did not consume peanuts. After 16 weeks, the groups switched conditions to further assess the effects of peanut consumption versus no peanuts on brain health.

The principal investigator of the study was Associate Professor Dr. Peter J. Joris. Test days were conducted by Ph.D. candidate Lucia Kerkhof, Department of Nutrition and Movement Sciences, Maastricht University Medical Center.

The NUTRIM study was supported by funding from The Peanut Institute Foundation. The funder did not have a role in the study design, implementation, analysis or interpretation of the data or the writing of the manuscript.

# # #

 


Disclaimer: AAAS and EurekAlert! are not responsible for the accuracy of news releases posted to EurekAlert! by contributing institutions or for the use of any information through the EurekAlert system.