Bedside brain scan: Simple ultrasound could speed up life-saving care for abscesses
Higher Education Press
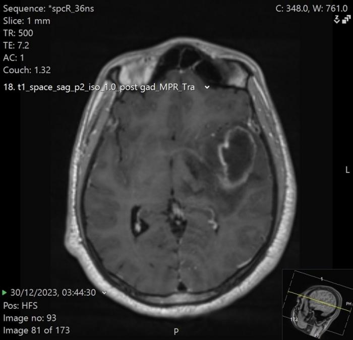
image: MRI image of left temporal brain abscess.
Credit: HIGHER EDUCATON PRESS
Brain abscesses are deadly, yet their symptoms—like headache and vomiting—are often mistaken for less serious conditions. Diagnosis typically requires advanced imaging like CT or MRI scans, which are expensive and not always immediately available, leading to dangerous delays in treatment.
In a recent case, doctors in a UK emergency department used a portable transcranial ultrasound (TCUS) machine on a 33-year-old man with a worsening headache. The scan, performed through the temporal bone window, revealed a suspicious dark (hypoechoic) area in the brain with bright (hyperechoic) walls. This finding, while not conclusive, promptly triggered an urgent MRI that confirmed a brain abscess, and the patient was rushed to successful neurosurgery.
This case highlights that TCUS, a cheap and non-invasive tool already available in many hospitals, could serve as a valuable triage “red flag”. It can help identify which headache patients need urgent, more sophisticated imaging, potentially speeding up life-saving treatment across diverse healthcare settings worldwide. The work entitled “Brain abscess diagnosis with transcranial ultrasound: a case report” was published in Emergency and Critical Care Medicine (published on Sep. 30, 2025).
Disclaimer: AAAS and EurekAlert! are not responsible for the accuracy of news releases posted to EurekAlert! by contributing institutions or for the use of any information through the EurekAlert system.