News Release

Radiation-induced cellular changes may mimic cancer recurrence in pap smears

“The present case highlights the need for heightened awareness of post-radiation cytology in clinical practice”

Peer-Reviewed Publication

Impact Journals LLC

Deciphering radiation effects in pap smears: A case report and review of challenges

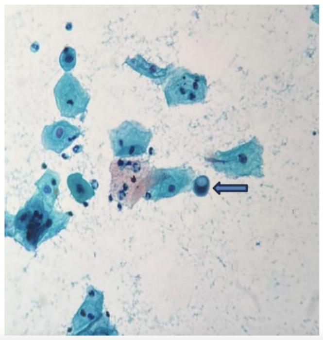
image: 

Figure 3: Smear shows a cell with cytoplasmic vacuolation (Pap stain, 400×).

view more 

Credit: Copyright: © 2025 Rathod et al. This is an open access article distributed under the terms of the Creative Commons Attribution License (CC BY 4.0), which permits unrestricted use, distribution, and reproduction in any medium, provided the original author and source are credited.

“The present case highlights the need for heightened awareness of post-radiation cytology in clinical practice.”

BUFFALO, NY — December 10, 2025 — A new case report was published in Volume 12 of Oncoscience on November 19, 2025, titled Deciphering radiation effects in pap smears: A case report and review of challenges.

In this report, Gunvanti Rathod, Monica Mishra, Alisha Khan, and Mishu Mangla from AIIMS Bibinagar describe a case of a 44-year-old woman previously treated for advanced cervical cancer. A follow-up Papanicolaou (Pap) smear revealed abnormal cells that appeared suspicious for cancer recurrence but were ultimately identified as benign changes. The case highlights the importance of recognizing post-treatment changes to prevent misdiagnosis and unnecessary medical procedures.

Cervical cancer is one of the most common cancers affecting women, particularly in low-resource settings. The Pap smear remains a vital tool for both early detection and monitoring after treatment. In advanced cases, therapy often includes surgery, chemotherapy, and radiation. While effective, radiation can cause long-term cellular changes that closely resemble malignancy under microscopic examination.

In this case, the patient had undergone a hysterectomy followed by radiation and chemotherapy. One year later, she returned for routine follow-up. Although she had no symptoms and no visible signs of disease, her Pap smear showed enlarged nuclei, cytoplasmic changes, and multinucleation, characteristics often associated with cancer. However, these were determined to be radiation-induced effects. The patient remained stable and symptom-free at her 12-month evaluation.

Numerous squamous epithelial cells exhibited: Nuclear enlargement with preserved N:C ratio, Cytoplasmic vacuolation and granularity, Mild hyperchromasia with smudged chromatin, Binucleation and multinucleation, Degenerative nuclear changes such as nuclear pallor, irregular membranes, and chromatin wrinkling, Occasional bizarre-shaped cells and Inflammatory background with atrophy.”

Radiation-related cellular changes are well-documented but can be mistaken for high-grade lesions or recurrence. These effects may persist for years and often overlap with features seen in actual disease. A key difference is that radiation-altered cells typically maintain a normal ratio between the nucleus and cytoplasm and do not show active division. Awareness of these features is essential for accurate interpretation.

The report underscores the need to interpret Pap smear results alongside a patient’s medical history, especially details of prior treatment. Vault smears, used to monitor patients after hysterectomy, remain useful but require cautious evaluation when a radiation history is present.

This case contributes to clinical knowledge by showing how radiation therapy can mimic disease in cytology. It emphasizes the importance of training and awareness among pathologists to ensure accurate diagnoses and avoid overtreatment.

DOI: https://doi.org/10.18632/oncoscience.636

Correspondence to: Gunvanti Rathod – gunvanti.path@aiimsbibinagar.edu.in

Abstract video: https://www.youtube.com/watch?v=7cmXAGNIwlw

Keywords: cancer, papanicolaou smear, radiation cytology, cervical cancer, cytological changes, diagnostic pitfalls

Click here to sign up for free Altmetric alerts about this article.

About Oncoscience

Oncoscience is a peer-reviewed, open-access, traditional journal covering the rapidly growing field of cancer research, especially emergent topics not currently covered by other journals. This journal has a special mission: Freeing oncology from publication costs. It is free for the readers and the authors.

Oncoscience is indexed and archived by PubMed, PubMed Central, Scopus, META (Chan Zuckerberg Initiative) (2018-2022), and Dimensions (Digital Science).

To learn more about Oncoscience, visit Oncoscience.us and connect with us on social media:

For media inquiries, please contact media@impactjournals.com.


Disclaimer: AAAS and EurekAlert! are not responsible for the accuracy of news releases posted to EurekAlert! by contributing institutions or for the use of any information through the EurekAlert system.