Not all pancreatic metastases are terminal: surgery extends median survival to over 90 months for select patients
Early identification of pancreatic metastases optimizes treatment strategies and improves outcomes
Chinese Medical Journals Publishing House Co., Ltd.
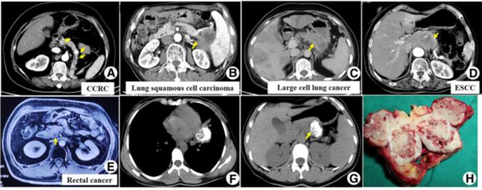
image: Representative CT and MRI images demonstrate pancreatic metastases originating from clear cell renal carcinoma, lung cancer, and other malignancies. Understanding these imaging patterns is essential for improving diagnostic accuracy and avoiding unnecessary or inappropriate treatments. (A) Clear cell renal carcinoma (CCRC). (B) Lung squamous cell carcinoma. (C) Large-cell lung cancer. (D) esophageal squamous cell carcinoma (ESCC). (E) Rectal cancer. (F–H) chondrosarcoma of the mandible.
Credit: Journal of Pancreatology
Pancreatic metastasis of cancer is uncommon in clinical practice. In a new study published in the Journal of Pancreatology, researchers from Qilu Hospital of Shandong University report the single-center retrospective analysis of pancreatic metastases, offering important insights into how these patients present, how they should be managed, and what factors most strongly influence survival.
The research team reviewed 77 patients diagnosed with pancreatic metastases over a 10-year period, between 2013 and 2023. The most common primary cancers were lung cancer (35.1%) and renal cancer (23.4%). CCRC emerged as the most frequent histologic subtype, followed by small-cell lung cancer.
One of the key findings was that pancreatic metastases are often clinically silent. Nearly two-thirds of patients had no pancreas-related symptoms, and 74% were presented with solitary pancreatic lesions, features that can easily mimic primary pancreatic tumors and contribute to their misdiagnosis.
“Pancreatic metastases are rare, imperceptible, and frequently mistaken for primary pancreatic cancer,” said Dr. Jianwei Xu, corresponding author of the study. “Our study provides real-world clinical profiles that can help clinicians recognize these lesions earlier and make more rational treatment decisions.”
Survival outcomes varied markedly depending on the origin of the primary tumor. Overall survival for the entire cohort was 42 months, but patients with pancreatic metastases from kidney cancer had significantly longer survival than those with lung, gastrointestinal, or gynecological cancers.
Timing of metastasis also played a critical role. Patients with metachronous pancreatic metastases—those occurring months or years after treatment of the primary tumor—had substantially better survival than those with synchronous metastases diagnosed at the same time as the primary cancer.
The most striking results were seen in patients with pancreatic metastases from CCRC. These pancreatic metastases often occurred many years after nephrectomy, with a median interval of more than 11 years. Importantly, patients who underwent radical surgical resection of pancreatic metastases achieved a median overall survival of more than 90 months.
“This finding challenges the traditional view that pancreatic metastasis automatically indicates poor prognosis,” Dr. Xu explained. “For selected patients, especially those with metachronous CCRC metastases, surgery can significantly prolong survival.”
The authors also emphasize the importance of multidisciplinary tumor board (MTB) discussions. Given the diagnostic complexity and heterogeneity of pancreatic metastases, coordinated decision-making among surgeons, oncologists, radiologists, and pathologists was essential to optimizing patient care.
While limited by its retrospective design, the study establishes a valuable framework for future research and clinical decision-making in this rare disease.
Disclaimer: AAAS and EurekAlert! are not responsible for the accuracy of news releases posted to EurekAlert! by contributing institutions or for the use of any information through the EurekAlert system.