News Release

Gene mutation drives cartilage tumor formation

Peer-Reviewed Publication

Duke University Medical Center

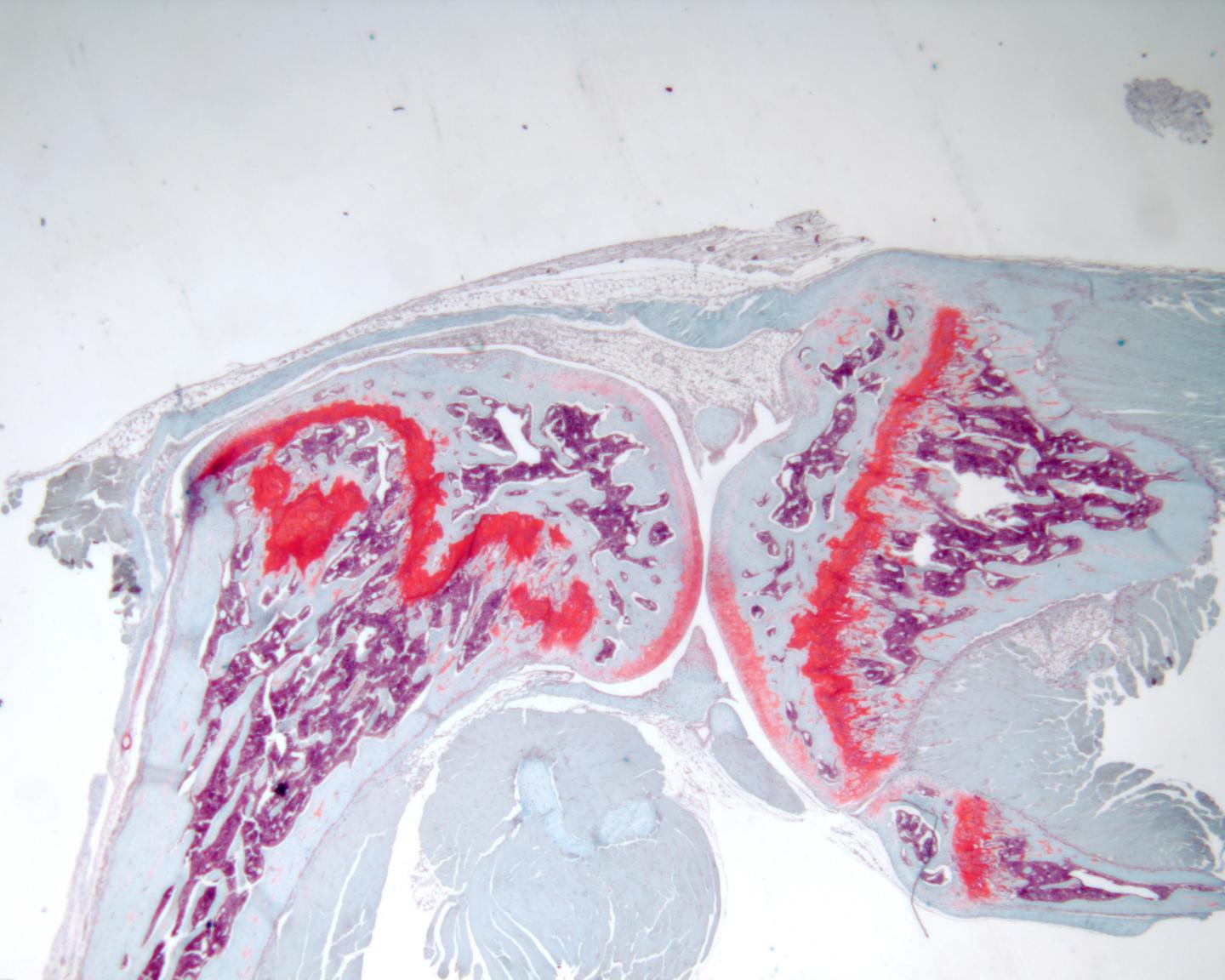
Enchondroma-Like Cartilage Lesions

image: Enchondroma-like cartilage lesions from IDH-mutant mouse models develop from aberrant cartilage cell function. view more 

Credit: Duke Medicine

DURHAM, N.C. - Duke Medicine researchers have shown how gene mutations may cause common forms of cartilage tumors.

In a study published in the Feb. 16, 2015, issue of the Proceedings of the National Academy of Sciences, Duke researchers and their colleagues revealed that mutations in the isocitrate dehydrogenase (IDH) gene contribute to the formation of benign tumors in cartilage that can be a precursor to malignancies.

These benign tumors, known as enchondromas, are associated with severe pain, fractures, and skeletal deformities. They also have the potential to evolve into a cancerous form known as chondrosarcomas. Over 40% of primary bone cancers are chondrosarcomas, according to the American Cancer Society.

"These findings are important for cancer treatments, as currently there are no drug therapies for enchondromas and there are no universally effective chemotherapies for chondrosarcomas," said senior author Benjamin Alman, M.D., chair of the Orthopaedic Surgery Department at Duke University Medical Center.

All bones begin as cartilage tissue, and some of this tissue becomes growth-plate cartilage, which is responsible for bone growth. Over time, the growth-plate cells become replaced with bone. When development is complete, only the joint cartilage at the tips of the bone typically remains.

"About five percent of people have some kind of cartilage tumor in their bones, and in most cases it's because the growth-plate cartilage cells weren't fully replaced by bone tissue," Alman said. "Our study sought to understand what happens to make those growth-plate cartilage cells remain, and this work will ultimately be used to determine what causes those benign tumors to become malignant."

The researchers identified a broad range of mutations in the IDH gene in cartilage tumors. They used mice and cartilage cells in a dish to study one mutant form of IDH that is identified only in cartilage cells. They found that mutations in the IDH gene alter the way cartilage cells function during bone formation, leaving some cells behind. This is apparently what leads to enchondromas.

Previous work on cartilage tumors has been done using models based on genetic mutations that occurred only rarely in enchondromas; however, IDH mutations are present in a high percentage of enchondromas.

The researchers hope these findings will aid in developing new treatments by using animal models that more closely represent the types of mutations apparent in the vast majority of patients with enchrondromas.

For instance, the study provides evidence that drugs designed to block the function of IDH might be useful in treating benign cartilage tumors to possibly prevent their transformation to malignancy.

"By understanding what causes malignant transformation we can determine what can be done for patients with benign tumors to suppress them before they reach the malignant stage," Alman said.

###

In addition to Alman, study authors at Duke include Vijitha Puviindran and Puviindran Nadesan, along with Makoto Hirata, Qingxia Wei, Shingo Sato, Yuning J. Tang, Jason Rockel, Heather Whetstone, Raymond Poon, and Angela Weng of the Hospital for Sick Children; Masato Sasaki, Rob A. Cairns, Satoshi Inoue, Wanda Y. Li, Bryan E. Snow, Tak W. Mak, and Lisa D. Jones of The Campbell Family Institute for Breast Cancer Research; Stefan Gross, Kimberly Straley, and Camelia Gliiser of Agios Pharmaceuticals; and Jay Wunder of Mount Sinai Hospital.

The National Institute of Arthritis and Musculoskeletal and Skin Diseases of the National Institutes of Health provided support for part of this study (R01AR066765).


Disclaimer: AAAS and EurekAlert! are not responsible for the accuracy of news releases posted to EurekAlert! by contributing institutions or for the use of any information through the EurekAlert system.