News Release

Pretreatment with SSTF prevents hippocampal neuronal apoptosis due to cerebral infarction

Peer-Reviewed Publication

Neural Regeneration Research

The Effect of <i>Scutellaria baicalensis</i>

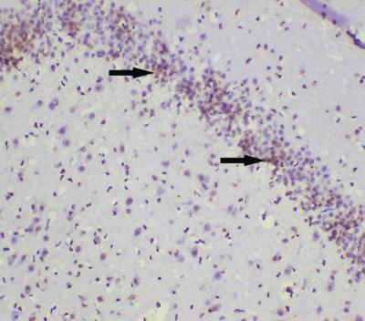
image: This shows the effect of Scutellaria baicalensis stem-leaf total flavonoid at 200 mg/kg per day on apoptosis of the hippocampal CA1 region (arrows) in rats with cerebral ischemia-reperfusion injury (TUNEL staining, ×200). view more 

Credit: <i>Neural Regeneration Research</i>

Focal cerebral ischemia-reperfusion may lead to neuronal loss in the hippocampus, which is regarded as one of the basic pathological mechanisms underlying cognitive impairment. The neuronal apoptosis plays an important role in cerebral infarction, determining the number of loss of neurons and infarct volume. Growing evidence has suggested that Chinese herbs can inhibit hippocampal apoptosis caused by ischemia-reperfusion. Prof. Shumin Zhao and team from Chengde Medical College in China pretreated rats with scutellaria baicalensis stem-leaf total flavonoid (SSTF) intragastrically for 7 days before focal cerebral ischemia-reperfusion injury models were established using the suture method. The researchers found that scutellaria baicalensis stem-leaf total flavonoids reduced the infarct volume and apoptosis in hippocampal neurons, restored neurological deficits, and improved the integrity of the blood-brain barrier in rats with cerebral ischemia-reperfusion injury. Meanwhile, SSTF increased the expression of the anti-apoptotic protein Bcl-2 and decreased the expression of the pro-apoptotic protein Bax, but could not prevent apoptosis. These findings, published in the Neural Regeneration Research (Vol. 8, No. 34, 2013), exhibit that SSTF may act on multiple areas and pathways to protect rat hippocampal tissue from ischemia-reperfusion injury, and thus may be useful for the clinical prevention and treatment of ischemic brain injury.

###

Article: " Pretreatment with scutellaria baicalensis stem-leaf total flavonoid prevents cerebral ischemia-reperfusion injury " by Shumin Zhao, Wei Kong, Shufeng Zhang, Meng Chen, Xiaoying Zheng, Xiangyu Kong (Laborbatory of Spinal Cord Injury and Rehabilitation, Chengde Medical College, Chengde 067000, Hebei Province, China)

Zhao SM, Kong W, Zhang SF, Chen M, Zheng XY, Kong XY. Pretreatment with scutellaria baicalensis stem-leaf total flavonoid prevents cerebral ischemia-reperfusion injury. Neural Regen Res. 2013;8(34):3182-3192.

Contact: Meng Zhao
eic@nrren.org
86-138-049-98773
Neural Regeneration Research
http://www.nrronline.org/


Disclaimer: AAAS and EurekAlert! are not responsible for the accuracy of news releases posted to EurekAlert! by contributing institutions or for the use of any information through the EurekAlert system.