News Release

New method for enhancing thermal conductivity could cool computer chips, lasers and other devices

Peer-Reviewed Publication

Vanderbilt University

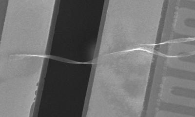
Boron Nanoribbons

image: This is a pair of boron nanoribbons stuck together on a microdevice used to measure thermal conductivity. view more 

Credit: Deyu Li

The surprising discovery of a new way to tune and enhance thermal conductivity – a basic property generally considered to be fixed for a given material – gives engineers a new tool for managing thermal effects in smart phones and computers, lasers and a number of other powered devices.

The finding was made by a group of engineers headed by Deyu Li, associate professor of mechanical engineering at Vanderbilt University, and published online in the journal Nature Nanotechnology on Dec. 11.

Li and his collaborators discovered that the thermal conductivity of a pair of thin strips of material called boron nanoribbons can be enhanced by up to 45 percent depending on the process that they used to stick the two ribbons together. Although the research was conducted with boron nanoribbons, the results are generally applicable to other thin film materials.

An entirely new way to control thermal effects "This points at an entirely new way to control thermal effects that is likely to have a significant impact in microelectronics on the design of smart phones and computers, in optoelectronics on the design of lasers and LEDs, and in a number of other fields," said Greg Walker, associate professor of mechanical engineering at Vanderbilt and an expert in thermal transport who was not directly involved in the research.

According to Li, the force that holds the two nanoribbons together is a weak electrostatic attraction called the van der Waals force. (This is the same force that allows the gecko to walk up walls.)

"Traditionally, it is widely believed that the phonons that carry heat are scattered at van der Waals interfaces, which makes the ribbon bundles' thermal conductivity the same as that of each ribbon. What we discovered is in sharp contrast to this classical view. We show that phonons can cross these interfaces without being scattered, which significantly enhances the thermal conductivity," said Li. In addition, the researchers found that they could control the thermal conductivity between a high and a low value by treating the interface of the nanoribbon pairs with different solutions.

The enhancement is completely reversible

One of the remarkable aspects of the effect Li discovered is that it is reversible. For example, when the researchers wetted the interface of a pair of nanoribbons with isopropyl alcohol, pressed them together and let them dry, the thermal conductivity was the same as that of a single nanoribbon. However, when they wetted them with pure alcohol and let them dry, the thermal conductivity was enhanced. Then, when they wetted them with isopropyl alcohol again, the thermal conductivity dropped back to the original low value.

"It is very difficult to tune a fundamental materials property such as thermal conductivity and the demonstrated tunable thermal conductivity makes the research especially interesting," Walker said.

One of the first areas where this new knowledge is likely to be applied is in thermal management of microelectronic devices like computer chips. Today, billions to trillions of transistors are jammed into chips the size of a fingernail. These chips generate so much heat that one of the major factors in their design is to prevent overheating. In fact, heat management is one of the major reasons behind today's multi-core processor designs.

"A better understanding of thermal transport across interfaces is the key to achieving better thermal management of microelectronic devices," Li said.

Discovery may improve design of nanocomposites

Another area where the finding will be important is in the design of "nanocomposites" – materials made by embedding nanostructure additives such as carbon nanotubes to a host material such as various polymers – that are being developed for use in flexible electronic devices, structural materials for aerospace vehicles and a variety of other applications.

###

Collaborators on the study were post-doctoral research associate Juekan Yang, graduate students Yang Yang and Scott Waltermire from Vanderbilt; graduate students Xiaoxia Wu and Youfei Jiang, post-doctoral research associate Timothy Gutu, research assistant professor Haitao Zhang, and Associate Professor Terry T. Xu from the University of North Carolina; Professor Yunfei Chen from the Southeast University in China; Alfred A. Zinn from Lockheed Martin Space Systems Company; and Ravi Prasher from the U.S. Department of Energy.

The research was performed with financial support from the National Science Foundation, Lockheed Martin's Engineering & Technology University Research Initiatives program and the Office of Naval Research.

Visit Research News @ Vanderbilt for more research news from Vanderbilt.


Disclaimer: AAAS and EurekAlert! are not responsible for the accuracy of news releases posted to EurekAlert! by contributing institutions or for the use of any information through the EurekAlert system.