News Release

Un « switch immunitaire » pourrait empêcher les lésions cérébrales chez les bébés prématurés

Peer-Reviewed Publication

RMIT University

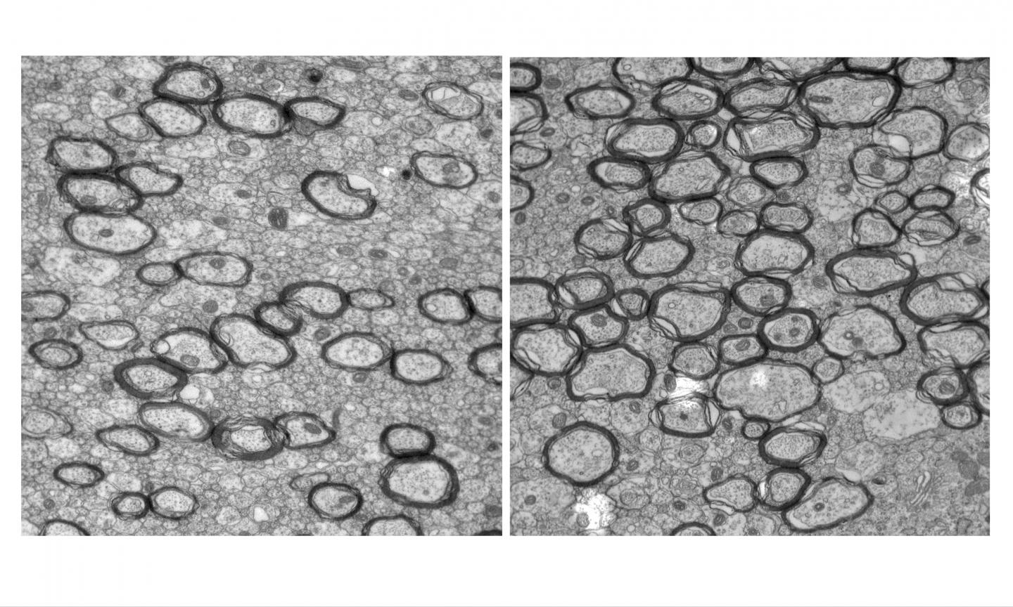
Cerveau sans traitement et avec traitement

image: Images à fort grossissement du cerveau sans traitement (à gauche) et avec traitement (à droite). Les deux images montrent un cerveau animal néonatal après exposition à une inflammation. Le cerveau ayant reçu un traitement ciblé pour calmer les cellules immunitaires hyperactives possède significativement plus de substance blanche (représentée par des cercles foncés sur les images), qui est essentielle à la connectivité dans le cerveau et dans le corps. view more 

Credit: RMIT University

Les chercheurs ont découvert un switch immunitaire qui pourrait protéger le cerveau des bébés prématurés, souvent atteints de lésions cérébrales lorsque leur réponse immunitaire se met en surrégime.

À travers une série d'études cliniques et précliniques, une équipe de recherche internationale a trouvé, pour la première fois, comment calmer les microglies (cellules immunitaires cérébrales) hyperactives.

La recherche laisse entrevoir un traitement potentiel pour réduire les lésions cérébrales chez les bébés prématurés, montrant que les microglies pourraient être ciblées avec succès par des médicaments afin de contrôler leur comportement hyperactif dangereux.

La recherche, conduite sur plus de sept ans par des scientifiques et cliniciens en Australie, en France, au Royaume-Uni, en Allemagne, à Singapour et en Suède, est publiée dans la revue Brain.

Environ 15 millions de bébés naissent prématurément chaque année à travers le monde et le taux de naissances prématurées est en augmentation dans les pays développés.

La naissance prématurée constitue la cause la plus fréquente de décès et d'incapacité chez les enfants de moins de 5 ans et jusqu'à 60 % des bébés nés trop tôt auront des problèmes qui persisteront pendant toutes leur vie, notamment les troubles du déficit de l'attention, l'autisme, la paralysie cérébrale et l'épilepsie.

Selon le Dr Bobbi Fleiss, co-auteur senior, de l'Université RMIT, les précédents travaux de recherche avaient montré que l'exposition à une inflammation constitue un facteur de naissance prématurée et de lésions cérébrales chez les bébés.

« C'est à travers l'inflammation que notre organisme combat naturellement l'infection, mais les cellules immunitaires jouant un rôle moteur dans cette réponse peuvent réagir trop fortement dans le cerveau en développement et s'emballer », explique B. Fleiss, chargé de recherche auprès du vice-chancelier du RMIT.

« Cette réponse immunitaire intense non seulement endommage le cerveau du bébé, mais elle détourne également ces cellules de leur autre fonction qui est de superviser le développement cérébral.

« Nous avons découvert un moyen d'atténuer l'hyperactivité sans affecter le processus critique d'élaboration du cerveau, en utilisant une approche thérapeutique ciblant les microglies.

« C'est absolument fascinant, car jusqu'à maintenant, on en savait très peu sur les mécanismes qui contrôlent le comportement des microglies.

« Cette découverte constitue un fantastique pas en avant vers le développement de nouveaux traitements visant à protéger le cerveau, qui aideront des millions de bébés prématurés et leurs familles à travers le monde. »

Le professeur Pierre Gressens de l'Inserm et de l'Université de Paris, co-auteur senior, explique que les médecins n'avaient jusqu'à maintenant aucune option thérapeutique pour stopper ou empêcher les lésions cérébrales chez les bébés prématurés.

« L'activation inflammatoire des microglies dans le cerveau en développement est associée à un impact neurologique permanent chez 9 millions de bébés prématurés à travers le monde chaque année », précise P. Gressens.

« Il reste énormément de travail pour développer un traitement pouvant être utilisé cliniquement, mais ces résultats nous rapprochent de manière significative de la fourniture à ces enfants vulnérables de traitements qui pourraient changer leur vie. »

Protéger la substance blanche

Lorsque les microglies se mettent en surrégime, elles altèrent la substance blanche du cerveau, un cocon protecteur qui isole les fibres nerveuses et aide les signaux électriques à se propager rapidement et efficacement dans le cerveau et le corps.

Si la substance blanche est présente en quantité insuffisante ou si elle est endommagée, les impulsions nerveuses progressent trop lentement, ce qui nuit au mouvement et aux facultés cognitives.

La voie vers le traitement

La clé pour contrôler le comportement néfaste des microglies est une voie de signalisation désignée par Wnt.

Dans les essais conduits chez des animaux, les chercheurs ont testé un médicament qui cible la voie du Wnt et la maintient active pendant l'inflammation.

Le traitement a empêché l'hyperactivité néfaste des microglies, réduisant les dommages de la substance blanche et les problèmes de mémoire à long terme associés à la naissance prématurée.

Différences génétiques

La recherche a également révélé que chez les bébés prématurés, les différences génétiques dans la voie du Wnt sont liées à différents niveaux de connectivité cérébrale et à la structure de la substance blanche.

Cette variation naturelle pourrait dans le futur être utilisée pour le pronostic, afin d'aider les médecins à prédire quels sont les bébés prématurés qui pourraient avoir besoin d'un support supplémentaire au cours de leur vie pour surmonter les problèmes cognitifs et physiques.

Collaboration mondiale

La collaboration impliquait des cliniciens et des scientifiques du King's College de Londres, de l'Institut Pasteur, de l'Universite? Paris Descartes, de PremUP, de l'Hôpital de la Pitie? Salpe?trie?re, de l'Universite? Paris 13, du Conservatoire National des arts et métiers, du Guy's and St Thomas' NHS Foundation Trust, de l'Université d'Édimbourg, du Centre Max Delbrück de médecine moléculaire de l'association Helmholtz, du Centre Hospitalier Sainte Anne, de la Duke-NUS Medical School et de l'Université de Göteborg.

Les chercheurs remercient pour leur soutien Genisphere LLC (Hatfield PA, États-Unis), les développeurs d'une plateforme de délivrance de médicaments ciblés basés sur l'ADN utilisée dans les essais. Il a été montré que le nouveau nanocarrier 3DNA transporte le médicament à travers le corps et cible précisément les microglies.

RMIT a récemment signé un accord avec Genisphere pour poursuivre les recherches, dans le but de traduire les résultats en traitements cliniques.

« Decreased microglial Wnt/β-catenin signalling drives microglial pro-inflammatory activation in the developing brain » (La réduction de la signalisation Wnt/β-caténine microgliale détermine l'activation proinflammatoire microgliale dans le cerveau en développement » (DOI : 10.1093/brain/awz319).

Contact: presse@inserm.fr

###


Disclaimer: AAAS and EurekAlert! are not responsible for the accuracy of news releases posted to EurekAlert! by contributing institutions or for the use of any information through the EurekAlert system.