Multimedia Release

Case Study Reveals a Molecular Origin for Defective Tooth Enamel (1 of 1)

Reports and Proceedings

American Association for the Advancement of Science (AAAS)

Case Study Reveals a Molecular Origin for Defective Tooth Enamel (1 of 1)

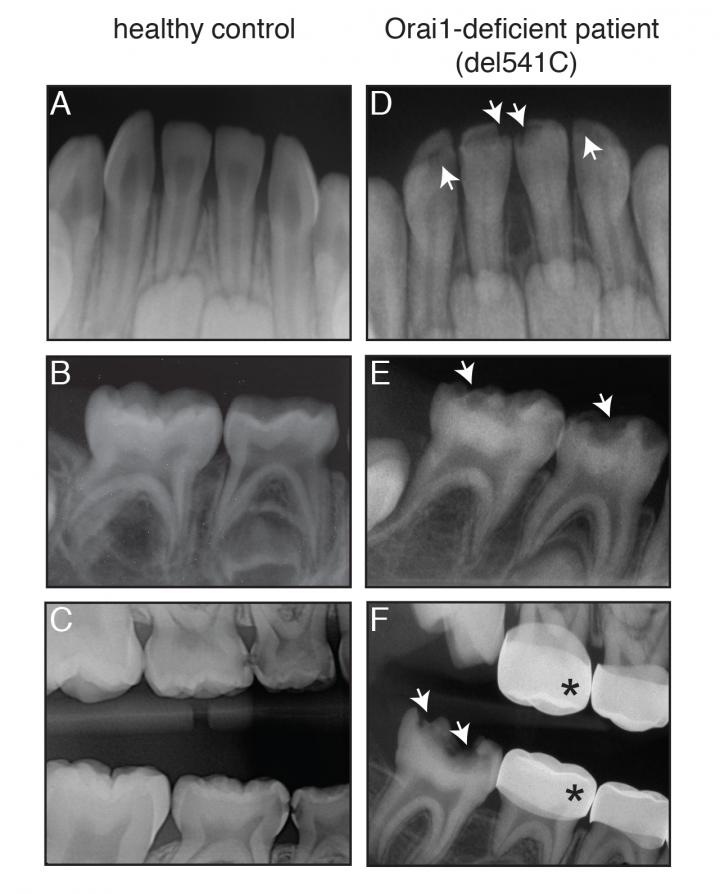
image: X-rays from an 8-month old patient with Orai1 deficiency. The patient had abnormal, pitted teeth due to defects in enamel (white arrows). This material relates to a paper that appeared in the Apr. 23, 2019, issue of Science Signaling, published by AAAS. The paper, by M. Eckstein at New York University College of Dentistry in New York, NY; and colleagues was titled, "Differential regulation of Ca 2+ influx by ORAI channels mediates enamel mineralization." view more 

Credit: M. Eckstein <i> et al., Science Signaling </i> (2019)


Disclaimer: AAAS and EurekAlert! are not responsible for the accuracy of news releases posted to EurekAlert! by contributing institutions or for the use of any information through the EurekAlert system.