Multimedia Release

Serotonin Solves Decades-Old Mystery in Parkinson's Disease (2 of 4)

Reports and Proceedings

American Association for the Advancement of Science (AAAS)

Serotonin Solves Decades-Old Mystery in Parkinson's Disease (2 of 4)

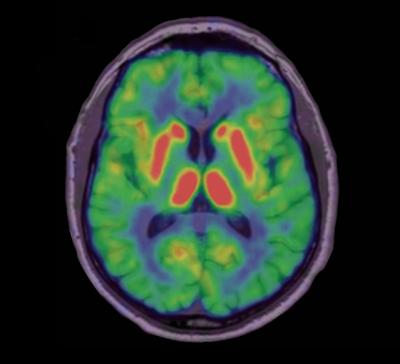
image: This is a PET image of a healthy brain. This image relates to an article that appeared in the June 30, 2010, issue of Science Translational Medicine, published by AAAS. The study, by Dr. Marios Politis of Imperial College London in London, UK, and colleagues, is titled, "Serotonergic Neurons Mediate Dyskinesia Side Effects in Parkinson's Patients with Neural Transplants." view more 

Credit: Image courtesy of Marios Politis


Disclaimer: AAAS and EurekAlert! are not responsible for the accuracy of news releases posted to EurekAlert! by contributing institutions or for the use of any information through the EurekAlert system.