News Release

TWEAKing inflammation

LJI researchers reveal potential target for the treatment of skin inflammation in eczema and psoriasis

Peer-Reviewed Publication

La Jolla Institute for Immunology

Dermatitis

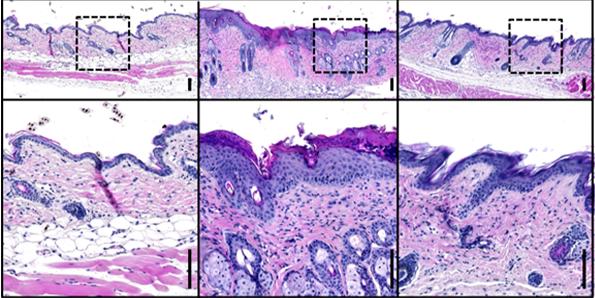
image: TWEAK regulates inflammation in atopic dermatitis and psoriasis. Left: Normal skin. Middle: Skin inflammation in atopic dermatitis. Right: Blocking TWEAK reduces skin inflammation in atopic dermatitis. view more 

Credit: Courtesy of Dr. Daniel Sidler, La Jolla Institute for Allergy and Immunology

LA JOLLA, CA -- Superficially, psoriasis and atopic dermatitis may appear similar but their commonalities are only skin deep. Atopic dermatitis, also known as eczema, is primarily driven by an allergic reaction, while psoriasis is considered an autoimmune disease. Nevertheless, researchers at La Jolla Institute for Allergy and Immunology were able to pinpoint a common driver of skin inflammation in both diseases.

Their findings, published in the May 22, 2017 issue of Nature Communications, showed that TWEAK, a protein related to tumor necrosis factor (TNF), plays a major role in inducing pro-inflammatory signaling molecules that recruit immune cells to the skin. TNF is already a drug target in psoriasis.

"Atopic dermatitis and psoriasis are two distinct diseases that are induced by alternate immune responses and the factors involved are quite different," explains Michael Croft, Ph.D., professor and head in the Division of Immune Regulation, who led the research. "Showing that TWEAK is a critical mediator in both conditions, makes it a potential therapeutic target for the treatment of inflammatory skin diseases in general."

Over 30 million Americans have some form of atopic dermatitis, which typically develops during childhood but can occur at any age. Most people outgrow the itchy condition but some will continue to suffer from eczema in adulthood.

It is believed to result from a combination of genetics and environmental factors such as irritants and allergens that drive T lymphocytes to produce factors that cause abnormal changes in keratinocytes, the predominant cell type in the outermost layer of skin, as well as changes in other cells in the underlying dermis.

In psoriasis, T lymphocytes also drive an alteration in healthy keratinocytes, accelerating their life cycle. As a result, new keratinocytes move to the outer layer of skin faster than old skin cells can be sloughed off. The build-up of extra cells forms patches of red, itchy skin that are covered with silvery scales and can range from a few spots to major flare-ups that cover large swathes of skin.

"Atopic dermatitis and psoriasis are very common diseases and can have debilitating affects on people's daily lives," says the study's first author Daniel Sidler, M.D., Ph.D, formerly a postdoctoral researcher in the Croft lab and now a Primary Investigator at the University of Bern in Switzerland. "Understanding the molecular basis of these diseases is crucial before we can seek new treatments for these and other inflammatory skin diseases."

In their current study, Croft and his team, in collaboration with researchers at the biotechnology company Biogen, focused on TWEAK and its receptor, Fn14, which had previously been shown to participate in several inflammatory conditions such as inflammatory bowel disease, arthritis and lupus-like kidney disease. "TWEAK and its signaling receptor, Fn14, have emerged as a fundamental molecular pathway regulating tissue responses after acute tissue injury and in many different contexts of chronic injury and disease" said Linda Burkly, Ph.D., Senior Distinguished Investigator, VP, Biogen, Inc., and co-senior author on the current study.

When Sidler measured TWEAK signaling in skin, he found that the expression of both the receptor and ligand was upregulated in atopic dermatitis and psoriasis.

Keratinocytes and dermal fibroblasts, which form the connective tissue in skin, responded to increased TWEAK activity by producing a number of chemoattractive and pro-inflammatory factors commonly found in atopic dermatitis and psoriasis. It also amplified disease-specific cytokines, namely IL-13 and IL-17, further explaining why it can contribute to two fundamentally different diseases.

"TWEAK alone doesn't cause atopic dermatitis or psoriasis but it triggers the production of chemokines that recruit pathogenic inflammatory cells to the skin regardless of the condition," says Sidler. "Blocking TWEAK activity, alone or in combination with other treatments, may sufficiently control skin inflammation to clear up the debilitating symptoms and restore quality of life in severe cases of those diseases."

###

Full citation: Daniel Sidler, Ping Wu, Rana Herro, Meike Claus, Dennis Wolf, Yuko Kawakami, Toshiaki Kawakami, Linda Burkly, and Michael Croft. "TWEAK mediates inflammation in experimental atopic dermatitis and psoriasis", 2017. DOI:10.1038/NCOMMS15395. The work was funded by La Jolla Institute for Allergy and Immunology, Biogen, and the Swiss National Science Foundation.

About La Jolla Institute for Allergy and Immunology

The La Jolla Institute for Allergy and Immunology is dedicated to understanding the intricacies and power of the immune system so that we may apply that knowledge to promote human health and prevent a wide range of diseases. Since its founding in 1988 as an independent, nonprofit research organization, the Institute has made numerous advances leading toward its goal: life without disease.


Disclaimer: AAAS and EurekAlert! are not responsible for the accuracy of news releases posted to EurekAlert! by contributing institutions or for the use of any information through the EurekAlert system.