News Release

Researchers discover why men are more likely to develop liver cancer

Peer-Reviewed Publication

Rockefeller University Press

Adiponectin Inhibits Liver Cancer Development

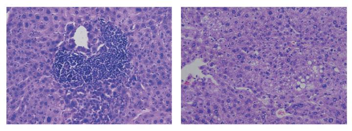
image: Raising adiponectin levels (right) reduces the formation of liver tumors in male mice. view more 

Credit: Manieri et al., 2019

Researchers in Spain have discovered that a hormone secreted by fat cells that is present at higher levels in women can stop liver cells from becoming cancerous. The study, which will be published April 3 in the Journal of Experimental Medicine, helps explain why hepatocellular carcinoma (HCC) is more common in men, and could lead to new treatments for the disease, which is the fourth leading cause of cancer-related death worldwide.

In the United States, men are twice as likely as women to develop HCC. A potential contributor to this gender disparity is adiponectin, a hormone secreted by fat cells that helps control the body's metabolism. "Circulating adiponectin levels have been reported to be higher in women than in men," explains Dr. Guadalupe Sabio of the Spanish National Center for Cardiovascular Research (CNIC) in Madrid. "However, adiponectin's role in HCC is controversial and needed further investigation."

Similar to humans, male mice are more prone to HCC than females. Sabio and colleagues found that increased levels of adiponectin in female mice protect them from HCC. The researchers determined that the hormone activates two proteins inside liver cells, known as p38? and AMPK, that block cell proliferation and impair tumor growth.

Inhibiting testosterone production in male rodents increased their adiponectin levels and reduced tumor growth. Sabio and colleagues found that testosterone activates a protein in fat cells called JNK1 that inhibits adiponectin production.

"Our results unravel a clear crosstalk between sex hormones, adipose tissue, and the liver, clarifying the mechanism underlying gender disparity in liver cancer development," Sabio says.

Intriguingly, adiponectin levels are also reduced in obesity, another major risk factor for HCC. The study also suggests that adiponectin and metformin--a common antidiabetic drug that activates AMPK--could be used as novel treatments for liver cancer.

###

Manieri et al., 2019. J. Exp. Med. http://jem.rupress.org/cgi/doi/10.1084/jem.20181288?PR

About the Journal of Experimental Medicine

The Journal of Experimental Medicine features peer-reviewed research on immunology, cancer biology, stem cell biology, microbial pathogenesis, vascular biology, and neurobiology. All editorial decisions are made by research-active scientists in conjunction with in-house scientific editors. JEM makes all of its content free online no later than six months after publication. Established in 1896, JEM is published by Rockefeller University Press. For more information, visit jem.org.

Visit our Newsroom, and sign up for a weekly preview of articles to be published. Embargoed media alerts are for journalists only.

Follow JEM on Twitter at @JExpMed and @RockUPress.


Disclaimer: AAAS and EurekAlert! are not responsible for the accuracy of news releases posted to EurekAlert! by contributing institutions or for the use of any information through the EurekAlert system.