Multimedia Release

New Map Tracks Protein Expression in Human Tissues (2 of 8)

Reports and Proceedings

American Association for the Advancement of Science (AAAS)

New Map Tracks Protein Expression in Human Tissues (2 of 8)

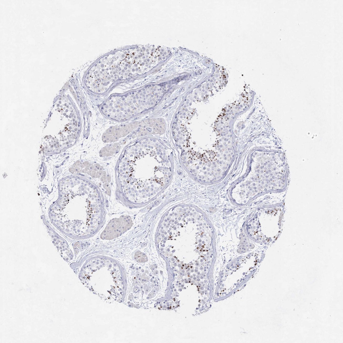
image: ACRV1 (Acrosomal vesicle protein 1), expressed in testis, associated with the acrosomal membranes in the head of the sperm. IMAGE TISSUE: testis. Image shows testis with expression in late stage spermatogenesis, acrosomal structures in spermatids. This material relates to a paper that appeared in the Jan. 23, 2015, issue of Science, published by AAAS. The paper, by M. Uhlén at KTH--Royal Institute of Technology in Stockholm, Sweden, and colleagues was titled, "Tissue-based map of the human proteome." view more 

Credit: [Credit: Image from the Human Protein Atlas]


Disclaimer: AAAS and EurekAlert! are not responsible for the accuracy of news releases posted to EurekAlert! by contributing institutions or for the use of any information through the EurekAlert system.