News Release

Scientists show drug may greatly improve cancer immunotherapy success

Peer-Reviewed Publication

University of Southampton

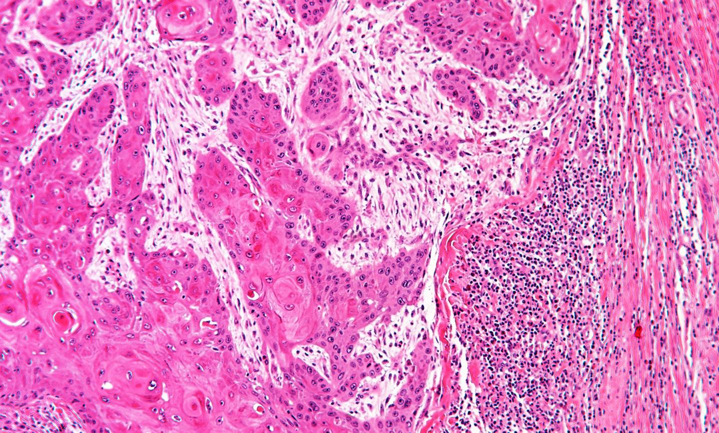
Human Cancer under Microscope

image: Human cancer under a microscope. The black dots on the right of the image are lymphocytes which are trying to get at the tumor, but are being stopped by cancer-associated fibroblasts. view more 

Credit: University of Southampton

A study led by the University of Southampton, funded by Cancer Research UK, has shown a new drug - originally developed to tackle the scarring of organ tissue - could help to significantly improve the success rate of cancer immunotherapy treatment.

Scientists have shown in mouse cancers, that GKT137831 (Setanaxib) can help break down the 'barrier' which makes many cancerous tumours resistant to immunotherapy drugs. GKT137831 is a drug currently undergoing clinical trials for treatment of organ fibrosis.

The team's findings are published in the journal Cancer Research, a journal of the American Association for Cancer Research.

Immunotherapy treatment harnesses the power of the body's own immune system to fight cancer. Its success depends on 'killer' lymphocytes penetrating into a tumour to combat malignant cells. However, most patients fail to respond, often because the lymphocytes are blocked at the edge of the tumour, preventing their attack. The scientists behind this latest study believe they have found why this happens and identified a way to overcome it - potentially improving immunotherapy treatment for many patients with different types of cancer.

The team found that normal cells called cancer-associated fibroblasts (CAF) are hijacked by cancer cells to protect them from immune attack. Fibroblasts are healthy cells that normally maintain the structure of tissues, but when they are corrupted by cancer cells, they become CAFs and shield tumours from lymphocyte attack and stop immunotherapy from working effectively. A significant proportion of many solid cancers are CAF-rich and associated with poor survival, including more than 50 percent of cases of head and neck, esophageal, colorectal and pancreatic cancers.

Previously, the group had identified that CAF formation depends on an enzyme called NOX4. In this study, they found that blocking NOX4 in mouse cancers, either genetically or with the drug GKT137831, could prevent and reverse CAF formation, allowing lymphocytes to infiltrate tumours and kill cancer cells*. Combining immunotherapies with GKT137831 was effective in treating tumours that were previously resistant, significantly improving survival**.

The findings could form the basis for making cancers respond better to existing immunotherapy drugs and demonstrate the potential for greatly improved clinical outcomes in a significant number of cancers. Cancer Research UK is currently funding the Southampton scientists to see if this approach improves immunotherapy in breast cancer.

Study author Professor Gareth Thomas, of the University of Southampton's Centre for Cancer Immunology, comments: "Immunotherapy for cancer has been a very exciting development, but still doesn't work in most patients. Our results suggest that in many cases, treatment resistance is caused by CAF, and we think this can be overcome by targeting NOX4. GKT137831 hasn't yet been tested on cancer patients, but we hope may give immunotherapy drugs a much better chance of fighting cancer cells effectively; this technique could hugely improve the success rate of cancer immunotherapy."

Liz Allaway, from Cancer Research UK says: "Immunotherapy is a promising cancer treatment that boosts the power of the body's immune system against cancer, but unfortunately it doesn't work for everyone. This exciting study showed that a drug, currently being tested for the treatment of another disease could make tumours in the lab more sensitive to immunotherapy. The next step would be to see if the drug has the same effect in people, which would open up immunotherapy as a treatment option for more people with cancer."

Ongoing work with Cancer Research UK will now investigate how best to progress these findings.

###

Notes to Editors

1) For a copy of the paper and interviews with Professor Gareth Thomas, please contact Peter Franklin, Media Relations, University of Southampton. Tel +44 23 8059 3212 Email p.franklin@soton.ac.uk

2) The University of Southampton drives original thinking, turns knowledge into action and impact, and creates solutions to the world's challenges. We are among the top 100 institutions globally (QS World University Rankings 2019). Our academics are leaders in their fields, forging links with high-profile international businesses and organisations, and inspiring a 22,000-strong community of exceptional students, from over 135 countries worldwide. Through our high-quality education, the University helps students on a journey of discovery to realise their potential and join our global network of over 200,000 alumni. http://www.southampton.ac.uk

3) About Cancer Research UK

  • Cancer Research UK is the world's leading cancer charity dedicated to saving lives through research.
  • Cancer Research UK's pioneering work into the prevention, diagnosis and treatment of cancer has helped save millions of lives.
  • Cancer Research UK receives no government funding for its life-saving research. Every step it makes towards beating cancer relies on vital donations from the public.
  • Cancer Research UK has been at the heart of the progress that has already seen survival in the UK double in the last forty years.
  • Today, 2 in 4 people survive their cancer for at least 10 years. Cancer Research UK's ambition is to accelerate progress so that by 2034, 3 in 4 people will survive their cancer for at least 10 years.
  • Cancer Research UK supports research into all aspects of cancer through the work of over 4,000 scientists, doctors and nurses.
  • Together with its partners and supporters, Cancer Research UK's vision is to bring forward the day when all cancers are cured.

http://www.cancerresearchuk.org

* mice with different types of cancer (TC1 - lung; MC38 - colon) were treated with GKT137831 to inhibit NOX4; this reduced tumour size by >50% and led to a 5-10-fold increase in CD8+ T-cell infiltration into tumours

** mice were tested with different immunotherapies (TC1 - DNA E7 (HPV) vaccination; MC38 - anti-PD1 checkpoint inhibition) combined with GKT137831; the combination treatments reduced tumour size by >50-75% and approximately doubled survival times

For more information see the paper published in the journal Cancer Research: https://cancerres.aacrjournals.org/content/early/2020/02/28/0008-5472.CAN-19-3158


Disclaimer: AAAS and EurekAlert! are not responsible for the accuracy of news releases posted to EurekAlert! by contributing institutions or for the use of any information through the EurekAlert system.