News Release

Newly identified tumor suppressor provides therapeutic target for prostate cancer

Sanford-Burnham researchers discover that, in both mice and humans, the enzyme PKCzeta acts as a tumor suppressor by keeping the pro-tumor c-Myc gene in check

Peer-Reviewed Publication

Sanford Burnham Prebys

Prostate Cancer

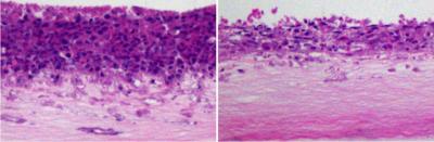
image: Prostate cancer cells expressing a mutant form of c-Myc that cannot be altered by PKCzeta (left) are more aggressive and more invasive than prostate cancer cells in which PKCzeta is able to keep tabs on c-Myc (right). view more 

Credit: Sanford-Burnham Medical Research Institute

LA JOLLA, Calif., April 1, 2013 – Scientists at Sanford-Burnham Medical Research Institute (Sanford-Burnham) have identified how an enzyme called PKCζ suppresses prostate tumor formation. The finding, which also describes a molecular chain of events that controls cell growth and metastasis, could lead to novel ways to control disease progression.

Working in close collaboration, the labs of Maria T. Diaz-Meco, Ph.D., and Jorge Moscat, Ph.D., found that PKCζ controls the activation of a pro-tumor gene called c-Myc. Normally, PKCζ's alteration keeps c-Myc in check. But PKCζ levels are low in prostate and other cancers, leaving c-Myc free to enhance cell growth and metastasis. This study, published April 1 in the Proceedings of the National Academy of Sciences, suggests that restoring PKCζ could provide a new approach to treating prostate cancer.

How PKCζ acts as a prostate tumor suppressor

Previous studies suggested that PKCζ might act as a tumor suppressor—but that wasn't clear in the case of prostate cancer. In their study, the team learned of PKCζ's role after genetically engineering mice so they lacked the enzyme altogether.

"In this study, we assessed the role of PKCζ in prostate cancer, and for the first time we used a knockout mouse for PKCζ to demonstrate that it's actually a tumor suppressor," Diaz-Meco said. "But, I think the major advance in this paper is that we found out how PKCζ is a tumor suppressor in prostate cancer."

In their study, the researchers found that PKCζ suppresses tumors in cooperation with a gene called PTEN. PTEN has been long known to act as a tumor suppressor, and it's also well-established that its mutated form is common in prostate cancer.

But the loss of normal PTEN function alone doesn't lead to aggressive prostate cancer. According to this study, the loss of PKCζ and the resulting over-active c-Myc are also needed for aggressive prostate cancer to develop.

Potential approaches toward attacking prostate cancer may in the future involve activating PKCζ through gene therapy, or dealing with its inaction downstream—perhaps by finding another way to inhibit c-Myc in the absence of PKCζ.

###

This research was funded by the U.S. National Institutes of Health (National Cancer Institute grants R01CA134530, R01CA132847, and 5P30CA030199-31; National Institute of Allergy and Infectious Diseases grant R01AI072581; National Institute of Diabetes and Digestive and Kidney Diseases grant R01DK088107) and the Department of Defense (grant DoD-PC080441).

The study was co-authored by Ji Young Kim, Sanford-Burnham; Tania Valencia, Sanford-Burnham; Shadi Abu-Baker, University of Cincinnati Medical College; Juan F. Linares, Sanford-Burnham; Sang Jun Lee, Sanford-Burnham; Tomoko Yajima, Sanford-Burnham; Jing Chen, University of Cincinnati Medical College; Alexey Eroshkin, Sanford-Burnham; Elias A. Castilla, University of Cincinnati Medical College; Laurence M. Brill, Sanford-Burnham; Mario Medvedovic, University of Cincinnati Medical College; Michael Leitges, University of Oslo; Jorge Moscat, Sanford-Burnham; and Maria T. Diaz-Meco, Sanford-Burnham.

About Sanford-Burnham Medical Research Institute

Sanford-Burnham Medical Research Institute is dedicated to discovering the fundamental molecular causes of disease and devising the innovative therapies of tomorrow. Sanford-Burnham takes a collaborative approach to medical research with major programs in cancer, neurodegeneration, diabetes, and infectious, inflammatory, and childhood diseases. The Institute is recognized for its National Cancer Institute-designated Cancer Center and expertise in drug discovery technologies. Sanford-Burnham is a nonprofit, independent institute that employs 1,200 scientists and staff in San Diego (La Jolla), California and Orlando (Lake Nona), Florida. For more information, visit us at sanfordburnham.org.


Disclaimer: AAAS and EurekAlert! are not responsible for the accuracy of news releases posted to EurekAlert! by contributing institutions or for the use of any information through the EurekAlert system.