News Release

Basic fibroblast growth factor protects injured spinal cord motor endplates

Peer-Reviewed Publication

Neural Regeneration Research

Gene

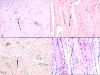
image: Cells positive for calcitonin gene related peptide in the spinal cord and anterior tibial muscle were significantly increased and deeply stained in rats receiving basic fibroblast growth factor injection at 8 weeks after spinal cord injury. view more 

Credit: <i>Neural Regeneration Research</i>

In current studies, the degeneration and protection measures in the distal end of the injured spinal cord and target organ muscle effector have scarcely been investigated. The distal end of the spinal cord and neuromuscular junction may develop secondary degenera-tion and damage following spinal cord injury because of the loss of neural connections. The effect of basic fibroblast growth factor on motor neurons in the anterior horn of the injured spinal cord, and on the number of neuromuscular junctions in target organs, remains elusive. Jianlong Wang and team from Third Xiangya Hospital of Central South University established a rat model of spinal cord injury using a modified Allen's method, which was injected with basic fibroblast growth factor solution via the subarachnoid catheter. The researchers found after injection, rats with spinal cord injury displayed well-recovered motor function, spinal glial scar hyperplasia was not apparent, and anterior tibial muscle fibers slowly, but progressively, atrophied, indicating the distal motor neurons and motor endplate degenerated. These findings, published in the Neural Regeneration Research (Vol. 8, No. 24, 2013), indicate that basic fibroblast growth factor can protect the endplate through attenuating the decreased expression of calcitonin gene related peptide and acetylcholinesterase in anterior horn motor neurons of the injured spinal cord.

###

Article: " Basic fibroblast growth factor attenuates the degeneration of injured spinal cord motor endplates " by Jianlong Wang1, Jianfeng Sun2, Yongxiang Tang3, Gangwen Guo1, Xiaozhe Zhou1, Yanliang Chen1, Minren Shen1 (1 Department of Orthopedics, Third Xiangya Hospital of Central South University, Changsha 410013, Hunan Province, China; 2 Department of Orthopedics, Yichang Central People's Hospital, Yichang 443003, Hubei Province, China; 3 Department of Nuclear Medicine, Xiangya Hospital of Central South University, Changsha 410013, Hunan Province, China)

Wang JL, Sun JF, Tang YX, Guo GW, Zhou XZ, Chen YL, Shen MR. Basic fibroblast growth factor attenuates the degeneration of injured spinal cord motor endplates. Neural Regen Res. 2013;8(24):2213-2224.

Contact: Meng Zhao
eic@nrren.org
86-138-049-98773
Neural Regeneration Research
http://www.nrronline.org/

Full text: http://www.sjzsyj.org/CN/article/downloadArticleFile.do?attachType=PDF&id=694


Disclaimer: AAAS and EurekAlert! are not responsible for the accuracy of news releases posted to EurekAlert! by contributing institutions or for the use of any information through the EurekAlert system.