Multimedia Release

Box-Sized Sensor Brings Portable, Noninvasive Fluid Monitoring to the Bedside (2 of 11)

Reports and Proceedings

American Association for the Advancement of Science (AAAS)

Box-Sized Sensor Brings Portable, Noninvasive Fluid Monitoring to the Bedside (2 of 11)

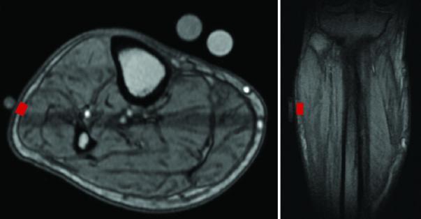
image: MRI scans of a study participant's leg, showing the approximate area (in red) where the NMR sensor gathered measurements. This material relates to a paper that appeared in the Jul. 24, 2019, issue of Science Translational Medicine, published by AAAS. The paper, by L.A. Colucci at Harvard-MIT Division of Health Sciences and Technology (HST) in Cambridge, MA; and colleagues was titled, 'Fluid assessment in dialysis patients by point-of-care magnetic relaxometry.' view more 

Credit: L. Colucci <i>et al., Science Translational Medicine</i> (2019)


Disclaimer: AAAS and EurekAlert! are not responsible for the accuracy of news releases posted to EurekAlert! by contributing institutions or for the use of any information through the EurekAlert system.