News Release

Crohn's disease: Preserving inflammation-free phases

Early detection of Crohn's disease flare-ups leads to improved therapy options

Peer-Reviewed Publication

Technical University of Munich (TUM)

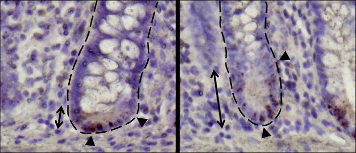
Small intestinal crypts of Crohn´s disease patients.

image: Small intestinal crypts of Crohn´s disease patients. view more 

Credit: Prof. Dirk Haller / TUM

Intestinal stem cell metabolism is facilitated by mitochondria - the in-cell power plants. Chronic inflammation processes inhibit the cells' metabolism and lead to functional loss of these stem cells.

In collaboration with the Helmholz Zentrum München and the Université de Paris, a TUM research team has discovered this connection by analyzing intestinal epithelial cells of Crohn's disease patients and comparing them to mouse model findings.

The interrelated role of stem cells and Paneth cells

Stem cells are indispensable for the maintenance and regeneration of tissues. Intestinal stem cells inside the intestines are intermingled with so-called Paneth cells, which are responsible for the local immune defense and for creating an environment in which the stem cells can prosper, thus termed guardians of the stem cell niche.

Patients suffering from Crohn's disease have fewer Paneth cells and furthermore, these are limited in their functionality. The research group examined the causes for alterations in Paneth cells and attempted to determine the importance of stem cell metabolism in this context.

In addition to mouse studies, the researchers analyzed intestinal biopsies from Crohn's disease patients, characterizing the stem cell niche meticulously. After six months, the patients' intestines were examined again endoscopically focusing on finding signs of inflammation.

Predicting Crohn's disease recurrence by observing the appearance of stem cells

The study showed that microscopic alterations in stem cell niche were particularly prevalent in those patients who showed symptoms of a relapse of inflammation after six months.

"These changes in the stem cell niche are a very early indicator for the start of inflammatory processes. Therefore, the appearance of the stem cell niche can be used to evaluate the probability of a disease recurrence after the resection of originally affected parts of the small intestine. This presents a reasonable starting point for therapeutic intervention," explained Dirk Haller, Professor for Nutrition and Immunology at TUM.

Restoring stem cell function

In both human patients and mouse models, alterations in Paneth and stem cells coincided with decreased mitochondria functionality.

Knowing that a lowered mitochondrial respiration leads to alterations in the stem cell niche, the researchers used dichloracetate (DCA), a substance applied in cancer therapy leading to an increase in mitochondrial respiration.

The shift in cellular metabolism induced by DCA was able to restore the intestinal stem cell functionality of mice suffering from inflammation, as demonstrated in intestinal organoids, organ-like structures cultured ex vivo.

Therapeutic approach for prolonging the inflammation-free phases of Crohn's disease

"These findings point to a new therapeutic approach for prolonging the inflammation-free remission phases of Crohn's disease," said Eva Rath, scientist at the TUM School of Life Sciences Weihenstephan and co-author of the study.

The aim of further research is to investigate the effect of DCA in animal models and patients in more detail. A so-called metabolic intervention - making targeted changes in the cells' metabolism - could prevent functional loss of stem cells and Paneth cells, which both maintain the intestinal barrier. This could lead to preventing subsequent inflammation.

###


Disclaimer: AAAS and EurekAlert! are not responsible for the accuracy of news releases posted to EurekAlert! by contributing institutions or for the use of any information through the EurekAlert system.