Multimedia Release

Studying Mice on Psychostimulants to Detect a Dopamine Receptor's Function (1 of 5)

Reports and Proceedings

American Association for the Advancement of Science (AAAS)

Studying Mice on Psychostimulants to Detect a Dopamine Receptor's Function (1 of 5)

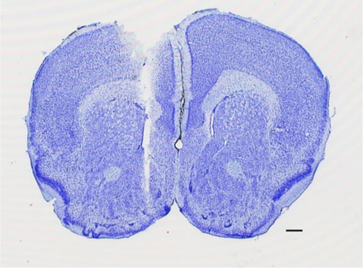
image: Coronal section from a representative experiment showing the microdialysis probe track ending within the medial nucleus accumbens shell. Scale bar, 5 mm. This material relates to a paper that appeared in the Jan. 11, 2017, issue of Science Advances, published by AAAS. The paper, by J. Bonaventura at National Institutes of Health in Baltimore, Md., and colleagues was titled, 'Key role of the dopamine D4 receptor in the modulation of corticostriatal glutamatergic neurotransmission.' view more 

Credit: Bonaventura et al. <i>Sci. Adv.</i> 2017;3:e1601631


Disclaimer: AAAS and EurekAlert! are not responsible for the accuracy of news releases posted to EurekAlert! by contributing institutions or for the use of any information through the EurekAlert system.