News Release

Researchers identify visual system changes that may signal Parkinson's disease

Peer-Reviewed Publication

Radiological Society of North America

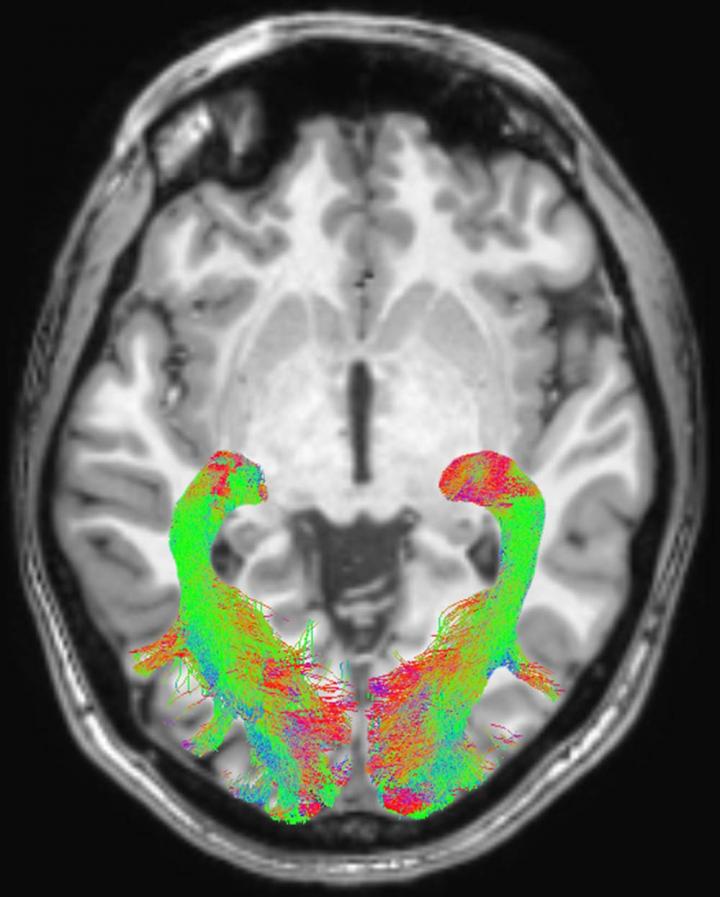
Figure 1 Left and right Optic Radiation

image: Left and right optic radiation (OR) image in a representative subject overlaid onto a T1-weighted axial volume image of the same subject. OR images were obtained on the basis of diffusion-weighted volume images by means of constrained spherical deconvolution fitting and related tractography. Each bundle was automatically colored according to tract main directionality: red for left to right, green for anterior to posterior, and blue for inferior to superior. view more 

Credit: Radiological Society of North America

OAK BROOK, Ill. - Changes in the visual systems of newly diagnosed Parkinson's disease patients may provide important biomarkers for the early detection and monitoring of the disease, according to a new study published online in the journal Radiology.

"Just as the eye is a window into the body, the visual system is a window into brain disorders," said lead researcher Alessandro Arrigo, M.D., a resident in ophthalmology at the University Vita-Salute San Raffaele of Milan, Italy.

Parkinson's disease is a neurodegenerative condition caused by neuronal loss in several brain structures. Parkinson's disease is characterized by tremors, rigidity or stiffness throughout the body, and impaired balance and coordination.

"Although Parkinson's disease is primarily considered a motor disorder, several studies have shown non-motor symptoms are common across all stages of the disease," Dr. Arrigo said. "However, these symptoms are often undiagnosed because patients are unaware of the link to the disease and, as a result, they may be under-treated."

Non-motor symptoms experienced by patients with Parkinson's disease include visual alterations such as an inability to perceive colors, a change in visual acuity, and a decrease in blinking which can lead to dry eye.

"These non-motor Parkinson's symptoms may precede the appearance of motor signs by more than a decade," Dr. Arrigo said.

The study of 20 newly diagnosed and not yet treated patients (11 men, 9 women) with Parkinson's disease and 20 age- and gender-matched healthy controls involved a multi-disciplinary team of researchers in ophthalmology, neurology and neuroradiology of the University of Messina, Italy. MRI was performed on both the healthy controls and the patients, who underwent imaging within four weeks of their diagnosis. Researchers used an MRI technique called diffusion weighted imaging to assess white matter changes and voxel-based morphometry (VBM) to investigate concentration changes of brain's gray and white matter. All study participants also had ophthalmologic examinations.

The researchers found significant abnormalities within the visual system brain structures of Parkinson's disease patients, including alterations of optic radiations, a reduction of white matter concentration and a reduction of optic chiasm volume. The optic chiasm is the part of the brain where the left and right optic nerves intersect.

"The study in depth of visual symptoms may provide sensitive markers of Parkinson's disease," Dr. Arrigo said. "Visual processing metrics may prove helpful in differentiating Parkinsonism disorders, following disease progression, and monitoring patient response to drug treatment."

Dr. Arrigo added that future studies are needed to better understand the timing of degeneration along visual pathways, as well as the specific changes.

"We're excited by our findings," he said. "However, this is just a starting point."

###

"Visual System Involvement in Patients with Newly Diagnosed Parkinson Disease." Collaborating with Dr. Arrigo were Alessandro Calamuneri, Ph.D., Demetrio Milardi, M.D., Enricomaria Mormina, M.D., Laura Rania, M.D., Elisa Postorino, M.D., Silvia Marino, M.D., Giuseppe Di Lorenzo, M.D., Giuseppe Pio Anastasi, M.D., Maria Felice Ghilardi, M.D., Pasquale Aragona, M.D., Angelo Quartarone, M.D., and Michele Gaeta, M.D.

Radiology is edited by Herbert Y. Kressel, M.D., Harvard Medical School, Boston, Mass., and owned and published by the Radiological Society of North America, Inc. (http://pubs.rsna.org/journal/radiology)

RSNA is an association of over 54,600 radiologists, radiation oncologists, medical physicists and related scientists promoting excellence in patient care and health care delivery through education, research and technologic innovation. The Society is based in Oak Brook, Ill. (RSNA.org)

For patient-friendly information on Parkinson's disease, visit RadiologyInfo.org.


Disclaimer: AAAS and EurekAlert! are not responsible for the accuracy of news releases posted to EurekAlert! by contributing institutions or for the use of any information through the EurekAlert system.