Multimedia Release

How Beetles Keep Bacteria in Check (1 of 15)

Reports and Proceedings

American Association for the Advancement of Science (AAAS)

How Beetles Keep Bacteria in Check (1 of 15)

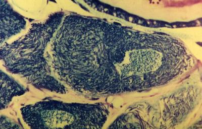
image: Bacteriocyte from Metamasius weevils (Dryophthoridae), where one can observe bacteria inside the bacteriocyte. This image relates to an article that appeared in the Oct. 21, 2011, issue of Science, published by AAAS. The article, by Dr. F.H. Login of INSA-Lyon in Villeurbanne, France, and colleagues, was titled, "Antimicrobial Peptides Keep Insect Endosymbionts Under Control." view more 

Credit: Image courtesy of Abdelaziz Heddi and Severine Balmand


Disclaimer: AAAS and EurekAlert! are not responsible for the accuracy of news releases posted to EurekAlert! by contributing institutions or for the use of any information through the EurekAlert system.