Multimedia Release

Breaching the Sexual Differentiation Paradigm for Reproductive Tract Development (2 of 2)

Reports and Proceedings

American Association for the Advancement of Science (AAAS)

Breaching the Sexual Differentiation Paradigm for Reproductive Tract Development (2 of 2)

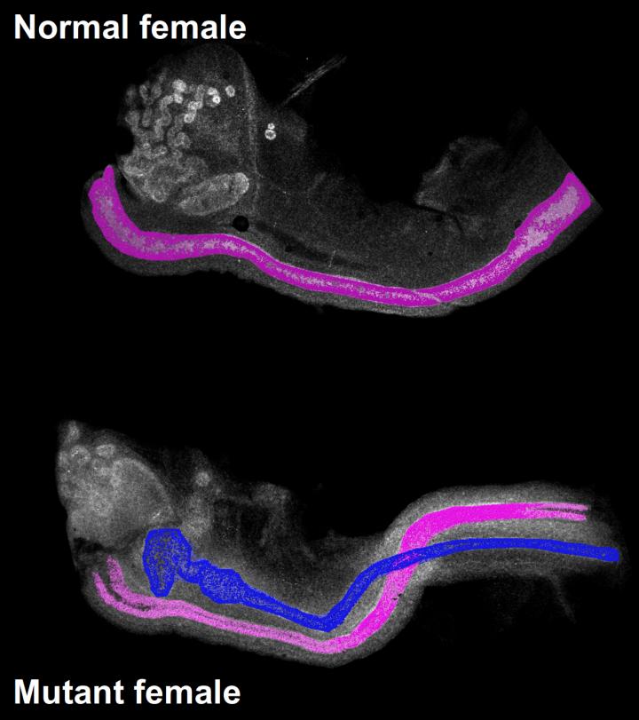
image: The normal female mouse embryo (top) contains only the female reproductive tract highlighted in pink. The female mutant mouse embryo without COUP-TFII (bottom) develops as intersex that has both male (blue) and female reproductive tracts. This material relates to a paper that appeared in the Aug .18, 2017, issue of Science, published by AAAS. The paper, by F. Zhao at National Institute of Environmental Health Sciences in Durham, NC, and colleagues was titled, 'Elimination of the male reproductive tract in the female embryo is promoted by COUP-TFII in mice.' view more 

Credit: Yao laboratory at NIEHS


Disclaimer: AAAS and EurekAlert! are not responsible for the accuracy of news releases posted to EurekAlert! by contributing institutions or for the use of any information through the EurekAlert system.