News Release

Testosterone-producing Leydig cells successfully generated from iPS cells

Important step towards regenerative medicine for late-onset hypogonadism

Peer-Reviewed Publication

Kobe University

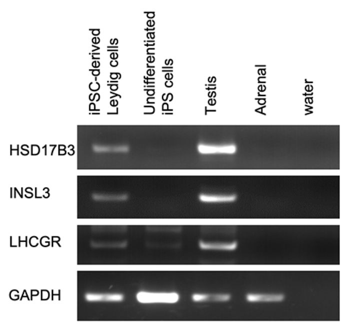
Figure 1.

image: Expression of Leydig cell-specific genes. view more 

Credit: Ishida et al., Endocrinology 162.12, 2021.

Researchers from Kobe University’s Graduate School of Science, Technology and Innovation/ Graduate School of Medicine have succeeded in generating Leydig cells from human iPS cells (*1). Leydig cells (*2) are responsible for producing the male hormone (testosterone), and it is hoped that Leydig cell transplants could serve as a treatment for late-onset hypogonadism (*3) in the future.

The research group included Professor AOI Takashi of the Department of iPS cell applications, and Researcher ISHIDA Takaki and Kobe University President FUJISAWA Masato of the Division of Urology.

These research results were published in Endocrinology on September 21, 2021.

Main Points

  • The research group successfully generated Leydig cells from human iPS cells.
  • They confirmed that functional testosterone was secreted from these Leydig cells.
  • It is hoped that transplants of Leydig cells generated from human iPS cells could provide future treatment for patients suffering from late-onset hypogonadism.

Research Background

It is well known that middle-aged women suffer from perimenopausal symptoms around 10 years before the menopause due to declining levels of the female hormone estrogen. However, men also experience a decrease in hormone levels (testosterone) as they age, and recognized symptoms of this include depression (*4), decline in sexual function (e.g. libido and erectile function), reduced muscle mass and reduced bone density, all of which can have a significant impact on patients’ quality of life (QOL). It is said that anywhere between a few hundred thousand to over two million men in Japan have symptoms, however awareness remains low. 

Currently, patients with late-onset hypogonadism (LOH) are treated with male hormone replacement therapies, however there are problems with these treatments. They require frequent hospital visits and do not restore the physiological functions that regulate hormone levels in the blood. In light of this, the researchers decided to try to generate testosterone-producing Leydig cells from human iPS cells (that have the ability to differentiate into all types of cells) in the hope that transplanting these induced cells into patients would provide a definitive treatment method for LOH.

Research Findings

Ishida et al. generated Leydig cells by expressing NR5A1 in male-derived human iPS cells. NR5A1 plays an important role in the development of the gonads and adrenal glands. The generated cells expressed genes specific to Leydig cells (Figures 1 and 2).

These iPS-generated Leydig cells produced the male hormone (testosterone) (Figure 3).  A cell proliferation experiment was then conducted using LNCaP cells, which proliferate in response to testosterone. The researchers found that testosterone secreted from the iPS-derived Leydig cells enhanced LNCaP cell proliferation, indicating that the hormone was functional (Figure 4).

Further Developments

This research succeeded in generating Leydig cells from human iPS cells. It is thought that this achievement will lead to the future implementation of regenerative medicine in which Leydig cells produced from human iPS cells are transplanted into patients with LOH.

In addition, Leydig cells are known to be difficult to cultivate as they do not proliferate in vitro. Therefore, Leydig cells generated from human iPS cells could be useful in a wide variety of research, not just regenerative medicine.

Glossary

1. iPS cells:
iPS cell is an abbreviation of ‘induced pluripotent stem cell’. These cells were discovered by Kobe University alumni Professor YAMANAKA Shinya. iPS cells are undifferentiated cells generated from somatic cells such as skin or blood cells by introducing a small set of factors into the cells and then cultivating them under specific conditions. iPS cells are therefore highly versatile as they have the ability to differentiate into a variety of different types of cell and proliferate infinitely.

2. Leydig cells:
Leydig cells are located inside the testes and their main function is to produce the male hormone testosterone. Over 90% of testosterone in the bloodstream is produced by these cells.

3. Late-onset hypogonadism (LOH):
Late-onset hypogonadism is caused by reduced levels of the male hormone (testosterone) due to aging and recognized symptoms include depression, decline in sexual function, reduced muscle mass, increased weight gain and reduced bone density, which can have a significant impact on patients’ quality of life (QOL). It is said that anywhere between a few hundred thousand to over two million men in Japan have symptoms, however awareness remains low.  Many men worry because they do not know the cause of the various symptoms that they are experiencing. Currently, there is no definitive treatment for patients with late-onset hypogonadism. Regular hormone replacement therapy is used as a stopgap treatment method, however this requires frequent hospital visits and does not mimic the regulation of blood hormone concentration levels that occurs when hormones are secreted by the body. Therefore, this method doesn’t always ameliorate symptoms.

4. Depression:
Depression is characterized by a variety of mental and physical symptoms, including dejection and reduced motivation. Based on diagnostic criteria, individuals may be diagnosed with clinical depression if they experience strong and/or extended depressive symptoms.

Acknowledgements

This research was supported by the following:

  • The Japan Agency for Medical Research and Development (AMED)’s Research Center Network for Realization of Regenerative Medicine
  • KAKENHI grants from the Japan Society for the Promotion of Science (JSPS)
  • Research Assistant Funds from Shinryokukai General Incorporated Association
  • Akira Sakagami Fund for Research and Education

Journal Information

Title:
“Differentiation of Human Induced Pluripotent Stem Cells Into Testosterone-Producing Leydig-like Cells”
DOI: 10.1210/endocr/bqab202

Authors:
Takaki Ishida, Michiyo Koyanagi-Aoi, Daisuke Yamamiya, Atsushi Onishi, Katsuya Sato, Keiichiro Uehara, Masato Fujisawa, Takashi Aoi

Journal:
Endocrinology


Disclaimer: AAAS and EurekAlert! are not responsible for the accuracy of news releases posted to EurekAlert! by contributing institutions or for the use of any information through the EurekAlert system.