News Release

Tuberculosis infection protects mice from developing COVID-19

Discovery may explain why tuberculosis and COVID-19 double infections are rare in humans

Peer-Reviewed Publication

PLOS

Tuberculosis infection protects mice from developing COVID-19

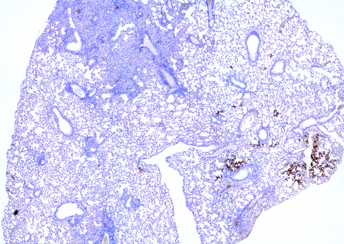
image: Magnified image of a lung that is infected with the respiratory pathogens that cause tuberculosis (TB) and COVID. The dense blue area in the upper left is infected with Mycobacterium tuberculosis (the cause of TB), while the brown area in the lower right is infected with SARS-CoV-2 (the cause of COVID). Image taken by Dr. Erin S. Gloag. view more 

Credit: Erin S. Gloag, Rosas Mejia O et al., 2022, PLOS Pathogens, CC-BY 4.0 (https://creativecommons.org/licenses/by/4.0/)

In mice, the immune response mounted against tuberculosis prevents them from developing COVID-19, according to a new study by Richard Robinson at The Ohio State University, U.S. and colleagues publishing March 24th in the open-access journal PLOS Pathogens.

Currently, the bacterium that causes tuberculosis, Mycobacterium tuberculosis, and the virus that causes COVID-19, SARS-CoV-2, are the leading causes of death from infectious disease worldwide. Tuberculosis is widespread, and scientists have questioned whether the immune response triggered by this serious respiratory infection might protect people from developing COVID-19. To find out more, researchers worked with two different strains of mice and infected them with M. tuberculosis. Then they exposed the mice to the COVID-19 virus and monitored them for signs of infection. They discovered that mice with tuberculosis showed no signs of COVID-19, likely because the pre-existing immune response to tuberculosis prevented the virus from proliferating in the lungs.

Altogether, the findings demonstrate that tuberculosis infection makes the lungs inhospitable to the COVID-19 virus in mice. If the same is true for humans, then this discovery may be one reason why there have been few reports of individuals with both tuberculosis and COVID-19 in the absence of other complications. The findings may also explain why countries tend to have high rates of infection of COVID-19 or tuberculosis, but not both. The researchers propose that future research should focus on the interaction between COVID-19 and tuberculosis infections in humans.

“TB and COVID are pandemics that affect every part of the world,” Robinson adds. “Our study reflects the work of a diverse and talented group of OSU scientists to better understand how these two diseases influence one another, a surprising observation being that mice with TB are resistant to COVID in a lab setting.”

############

In your coverage, please use this URL to provide access to the freely available article in PLOS Pathogens: http://journals.plos.org/plospathogens/article?id=10.1371/journal.ppat.1010093

Citation: Rosas Mejia O, Gloag ES, Li J, Ruane-Foster M, Claeys TA, Farkas D, et al. (2022) Mice infected with Mycobacterium tuberculosis are resistant to acute disease caused by secondary infection with SARS-CoV-2. PLoS Pathog 18(3): e1010093. https://doi.org/10.1371/journal.ppat.1010093

Author Countries: United States

Funding: This work was supported by funds from the United States National Institutes of Health (R01AI121212 to RTR; https://www.nih.gov), as well as the American Heart Association (19CDA34630005 to ESG; https://www.heart.org) and The Ohio State University (RTR and ORM; https://www.osu.edu). The funders had no role in study design, data collection and analysis, decision to publish, or preparation of the manuscript.


Disclaimer: AAAS and EurekAlert! are not responsible for the accuracy of news releases posted to EurekAlert! by contributing institutions or for the use of any information through the EurekAlert system.