News Release

Heart muscle scarring found in patients with hypertension are associated with worse outcomes

First-of-its-kind study by NHCS researchers shows adverse association between heart muscle scarring (also known as myocardial fibrosis) and patients with hypertension, detected non-invasively using cardiac magnetic resonance imaging (CMR)

Peer-Reviewed Publication

SingHealth

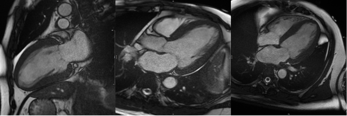
Image: CMR of a patient showing evidence of myocardial hypertrophy (thickening of heart muscles) due to hypertension.

image: Image: CMR of a patient showing evidence of myocardial hypertrophy (thickening of heart muscles) due to hypertension. view more 

Credit: National Heart Centre Singapore

  • First-of-its-kind study by NHCS researchers shows adverse association between heart muscle scarring (also known as myocardial fibrosis) and patients with hypertension, detected non-invasively using cardiac magnetic resonance imaging (CMR).
  • This group of patients could be risk-stratified using CMR and intervened early with targeted medications.
  • NHCS has embarked on an ongoing trial to examine the potential of targeted medications to reverse heart muscle scarring and avert worse cardiovascular outcome.

Singapore, 21 July 2022 – A recent study conducted by the National Heart Centre Singapore (NHCS) discovered that myocardial fibrosis is associated with worse cardiovascular outcomes in patients with hypertension. Myocardial fibrosis is an important prognostic marker in the development of adverse cardiovascular events, such as heart failure and death.

In Singapore, the prevalence of hypertension has shown an increase from 24.2% in 2017 to 35.5% in 2019 to 20201 and it is a major cause of ischemic heart disease, strokes and heart failure2,3,4.  Although conventional medical treatment is able to control one’s blood pressure, it does not completely ameliorate or eliminate risks of cardiovascular disease. For instance, about 30% of these cardiovascular events occur in patients with well-controlled blood pressure4.

In this prospective and observational study, titled REMODEL (Response of the Myocardium to Hypertrophic Conditions in the Adult Population)5 led by Associate Professor Calvin Chin, Clinician Scientist and Senior Consultant from the Department of Cardiology at NHCS, CMR was performed in close to 800 patients with hypertension. The patients were followed up for adverse cardiovascular events over an average period of more than three years. CMR is a useful diagnostic tool which detects heart structural abnormalities and quantifies fibrosis without the invasive sampling of heart muscle tissues.

Myocardial fibrosis typically happens in patients with previous heart attacks. Correspondingly, patients in the REMODEL study did not have previous heart attacks, hence any occurrence of myocardial fibrosis have been deduced to that of patient’s susceptibility to blood pressure, and other reasons such as genetic predisposition and other medical co-morbidities like diabetes.

“Although anecdotal reports have previously shown the presence of heart muscle scarring in patients with hypertension, this is the first study that confirms the adverse association between scarring of heart muscle and the cardiovascular outcomes in patients with hypertension. We found that heart muscle scarring is a stronger predictor of adverse outcomes even after correcting for patients’ age, sex and systolic blood pressures,” said Assoc Prof Calvin Chin, who is also the Director of Cardiac Magnetic Resonance Imaging at NHCS.

The research team further found that the heart muscle response to hypertension in patients is heterogeneous or diverse, whereby while two patients may have similar blood pressure, their myocardial characteristics can be different. This presents opportunities to tailor and personalise treatment for hypertensive patients who have heart muscle scarring to reduce potential risk of future cardiovascular events, beyond lowering their blood pressure and achieving their blood pressure targets.

Following these findings that were published this year in the medical Journal Hypertension, Assoc Prof Calvin Chin and the team are now into the next phase of an ongoing trial REVERSE-LVH6 to assess the potential of reversing heart muscle scarring, through the use of specific therapies targeted at fibrosis in patients with hypertensive heart disease.  REVERSE-LVH is a randomised controlled study to compare the efficacy of medications in regressing myocardial fibrosis. Patients recruited in the study would undergo CMR after a year to quantity the amount of myocardial fibrosis detected before and after treatment.

“Using CMR, a non-invasive tool to detect fibrosis has potential to improve risk-stratification of patients with hypertension. Targeted anti-fibrotic intervention, if proven effective, could have direct impact on clinical practice and help selected patients with hypertension lead better quality of life and have better health outcomes,” said Assoc Prof Calvin Chin.

References:

  1. Key Highlights from the National Population Health Survey 2020. https://www.singstat.gov.sg.
  2. Drazner MH. The Progression of Hypertensive Heart Disease. Circulation. 2011;123(3):327-334.
  3. Messerli FH, Rimoldi SF, Bangalore S. The Transition from Hypertension to Heart Failure: Contemporary Update. JACC: Heart Failure.
  4. Forouzanfar MH, Liu P, Roth GA, et al. Global Burden of Hypertension and Systolic Blood Pressure of at Least 110 to 115 mm Hg, 1990-2015. JAMA. 2017;317(2):165-18.
  5. Iyer NR, Le TT, Kui MSL, Tang HC, Chin CT, Phua SK, Bryant JA, Pua CJ, Ang B, Toh DF, Aw TC, Lee CH, Cook SA, Ugander M, Chin CWL. Markers of Focal and Diffuse Nonischemic Myocardial Fibrosis Are Associated With Adverse Cardiac Remodeling and Prognosis in Patients With Hypertension: The REMODEL Study. Hypertension. 2022 May 23:101161HYPERTENSIONAHA12219225. doi: 10.1161/HYPERTENSIONAHA.122.19225. Epub ahead of print. PMID: 35603595.
  6. REVERSE-LVH. https://clinicaltrials.gov/ct2/show/NCT03553810

==========================   END   ======================

Media Contact

Ms Elaine Loh

Corporate Development

National Heart Centre Singapore

Tel: (65) 6704 2387

Email: elaine.loh.l.p@nhcs.com.sg

Ms Lau Qian Yu

Corporate Development

National Heart Centre Singapore

Tel: (65) 6704 2385

Email:  Lau.qian.yu@nhcs.com.sg      

About the National Heart Centre Singapore

The National Heart Centre Singapore (NHCS) is a 185-bed national and regional referral centre for cardiovascular diseases. NHCS provides a one-stop comprehensive cardiac care ranging from preventive, diagnostic, therapeutic to rehabilitative services. It is also the only heart and lung transplantation centre in Singapore.

Each year, NHCS handles over 120,000 outpatient consultations, 9,000 interventional and surgical procedures and 10,000 inpatients. Its clinical outcomes for heart attack treatment, balloon angioplasty with stenting and coronary bypass surgery have been shown to be equivalent to international benchmarks.

Established in 1998, NHCS is the pioneer in cardiovascular care in Singapore.

For more information, please visit www.nhcs.com.sg.


Disclaimer: AAAS and EurekAlert! are not responsible for the accuracy of news releases posted to EurekAlert! by contributing institutions or for the use of any information through the EurekAlert system.